Comparison

Anti-GPI Rabbit pAb

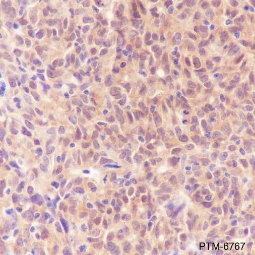
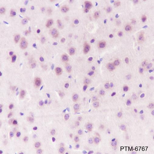
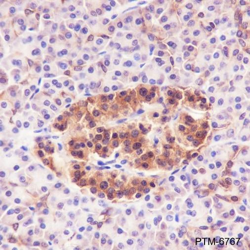
Item no. PTM-6767
Manufacturer PTM Biolabs
Amount 100 ul
Category
Type Antibody Polyclonal
Format Lyophilized powder
Applications WB, IHC-P
Specific against Human (Homo sapiens), Mouse (Murine, Mus musculus), Rat (Rattus norvegicus), Monkey (Cynomolgus, Simian)
Host Rabbit
Isotype IgG
Conjugate/Tag Unconjugated
ECLASS 10.1 32160702
ECLASS 11.0 32160702
UNSPSC 12352203
Alias AMF,NLK,PGI,PHI,SA-36
Shipping Condition Room temperature
Available
Manufacturer - Type
Primary Antibodies
Manufacturer - Category
Uncategorized
Manufacturer - Targets
GPI
Shipping Temperature
Ambient temperature
Storage Conditions
Store at -20°C. Avoid freeze/thaw cycles.
Stability
Stable for 12 months from date of receipt/reconstitution.
Manufacturer - Research Area
Neuroscience, Immunology, Signal Transduction, Cancer, Metabolism
Product description
GPI(Glucose-6-phosphate isomerase), which is also named as autocrine motility factor (AMF), phosphoglucose isomerase(PGI), Neuroleukinis(NLK), phosphohexose isomerase(PHI) or sperm antigen 36(SA-36), is a housekeeping cytosolic enzyme that plays a key role in both glycolysis and gluconeogenesis pathways. It is also a multifunctional protein that displays cytokine properties, eliciting mitogenic, motogenic, and differentiation activities, and has been implicated in tumor progression and metastasis. This protein can exsit as a homodimer in the catalytically active form and a monomer in the secreted form.
Purification Method
Protein A purified
Formula
PBS, Glycerol, BSA
PTM
Unmodified
Clonality
Polyclonal
Background
GPI(Glucose-6-phosphate isomerase), which is also named as autocrine motility factor (AMF), phosphoglucose isomerase(PGI), Neuroleukinis(NLK), phosphohexose isomerase(PHI) or sperm antigen 36(SA-36), is a housekeeping cytosolic enzyme that plays a key role in both glycolysis and gluconeogenesis pathways. It is also a multifunctional protein that displays cytokine properties, eliciting mitogenic, motogenic, and differentiation activities, and has been implicated in tumor progression and metastasis. This protein can exsit as a homodimer in the catalytically active form and a monomer in the secreted form.
Cellular Localization
Cytoplasm, Secreted

Note: The presented information and documents (Manual, Product Datasheet, Safety Datasheet and Certificate of Analysis) correspond to our latest update and should serve for orientational purpose only. We do not guarantee the topicality. We would kindly ask you to make a request for specific requirements, if necessary.

All products are intended for research use only (RUO). Not for human, veterinary or therapeutic use.

Amount: 100 ul
Available: In stock
available

Compare

Add to wishlist

Get an offer

Request delivery time

Ask a technical question

Submit a bulk request

Questions about this Product?
 
Close