Comparison

Anti-Caspase-7 Rabbit mAb

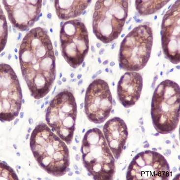
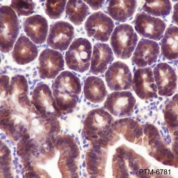
Item no. PTM-6781
Manufacturer PTM Biolabs
Amount 100 ul
Category
Type Antibody Monoclonal
Format Lyophilized powder
Applications WB, IHC-P
Clone JRMR-10984-20
Specific against Mouse (Murine, Mus musculus), Rat (Rattus norvegicus)
Host Rabbit
Isotype IgG
Conjugate/Tag Unconjugated
Citations Zhang Ting, et al. G6PD maintains the VSMC synthetic phenotype and accelerates vascular neointimal hyperplasia by inhibiting the VDAC1–Bax-mediated mitochondrial apoptosis pathway. CELLULAR & MOLECULAR BIOLOGY LETTERS, 2024. https://link.springer.com/article/10.1186/s11658-024-00566-w.
ECLASS 10.1 42030590
ECLASS 11.0 42030590
UNSPSC 12352203
Alias CASP-7,Apoptotic protease Mch-3,Cysteine protease LICE2,Lice2,Mch3
Shipping Condition Room temperature
Available
Manufacturer - Type
Primary Antibodies
Manufacturer - Category
Uncategorized
Manufacturer - Targets
Caspase-7
Shipping Temperature
Ambient temperature
Storage Conditions
Store at -20°C. Avoid freeze/thaw cycles.
Stability
Stable for 12 months from date of receipt/reconstitution.
Manufacturer - Research Area
Cell Biology, Cancer, Metabolism, Neuroscience
Product description
Caspase-7, also named as CMH-1, Mch3 and ICE-LAP3, has been identified as a major contributor to the execution of apoptosis. Caspase-7, like caspase-3, is an effector caspase that is responsible for cleaving downstream substrates such as ADP-ribose polymerase and PARP. During apoptosis, caspase-7 is activated through proteolytic processing by upstream caspases at Asp23, Asp198, and Asp206 to produce the mature subunits. Similar to caspase-2 and -3, caspase-7 preferentially cleaves substrates following the recognition sequence DEVD.
Purification Method
Protein A purified
Formula
PBS, Glycerol, BSA
PTM
Unmodified
Clonality
Recombinant Monoclonal
Background
Caspase-7, also named as CMH-1, Mch3 and ICE-LAP3, has been identified as a major contributor to the execution of apoptosis. Caspase-7, like caspase-3, is an effector caspase that is responsible for cleaving downstream substrates such as ADP-ribose polymerase and PARP. During apoptosis, caspase-7 is activated through proteolytic processing by upstream caspases at Asp23, Asp198, and Asp206 to produce the mature subunits. Similar to caspase-2 and -3, caspase-7 preferentially cleaves substrates following the recognition sequence DEVD.
Cellular Localization
Cytoplasm

Note: The presented information and documents (Manual, Product Datasheet, Safety Datasheet and Certificate of Analysis) correspond to our latest update and should serve for orientational purpose only. We do not guarantee the topicality. We would kindly ask you to make a request for specific requirements, if necessary.

All products are intended for research use only (RUO). Not for human, veterinary or therapeutic use.

Amount: 100 ul
Available: In stock
available

Compare

Add to wishlist

Get an offer

Request delivery time

Ask a technical question

Submit a bulk request

Questions about this Product?
 
Close