Comparison

Anti-GAP43 Rabbit pAb

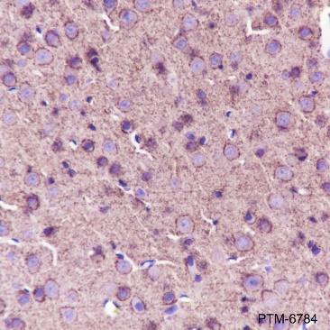
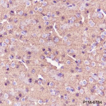
Item no. PTM-6784
Manufacturer PTM Biolabs
Amount 100 ul
Category
Type Antibody Polyclonal
Format Lyophilized powder
Applications WB, IHC-P
Specific against Human (Homo sapiens), Mouse (Murine, Mus musculus), Rat (Rattus norvegicus)
Host Rabbit
Isotype IgG
Conjugate/Tag Unconjugated
ECLASS 10.1 32160702
ECLASS 11.0 32160702
UNSPSC 12352203
Alias Neuromodulin,Growth-associated protein 43,Neural phosphoprotein B-50,pp46
Shipping Condition Room temperature
Available
Manufacturer - Type
Primary Antibodies
Manufacturer - Category
Uncategorized
Manufacturer - Targets
GAP43
Shipping Temperature
Ambient temperature
Storage Conditions
Store at -20°C. Avoid freeze/thaw cycles.
Stability
Stable for 12 months from date of receipt/reconstitution.
Manufacturer - Research Area
Neuroscience
Product description
GAP43, also known as neuromodulin, B-50, P-57, F1 and pp46, is a neuronal growth-associated protein. Deficiency of GAP43 in mice results in death early in the postnatal period. GAP43 also is one of the main substrates for protein kinase C in the brain. GAP43 is an intracellular growth-associated protein that appears to assist neuronal pathfinding and branching during development and regeneration, and may contribute to presynaptic membrane changes in the adult, leading to the neurotransmitter release, endocytosis and synaptic vesicle recycling, long-term potentiation, spatial memory formation, and learning.
Purification Method
Protein A and immunogen affinity purified
Formula
PBS, Glycerol, BSA
PTM
Unmodified
Clonality
Polyclonal
Background
GAP43, also known as neuromodulin, B-50, P-57, F1 and pp46, is a neuronal growth-associated protein. Deficiency of GAP43 in mice results in death early in the postnatal period. GAP43 also is one of the main substrates for protein kinase C in the brain. GAP43 is an intracellular growth-associated protein that appears to assist neuronal pathfinding and branching during development and regeneration, and may contribute to presynaptic membrane changes in the adult, leading to the neurotransmitter release, endocytosis and synaptic vesicle recycling, long-term potentiation, spatial memory formation, and learning.
Cellular Localization
Cytoplasm, membrane

Note: The presented information and documents (Manual, Product Datasheet, Safety Datasheet and Certificate of Analysis) correspond to our latest update and should serve for orientational purpose only. We do not guarantee the topicality. We would kindly ask you to make a request for specific requirements, if necessary.

All products are intended for research use only (RUO). Not for human, veterinary or therapeutic use.

Amount: 100 ul
Available: In stock
available

Compare

Add to wishlist

Get an offer

Request delivery time

Ask a technical question

Submit a bulk request

Questions about this Product?
 
Close