Comparison

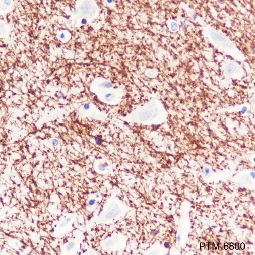
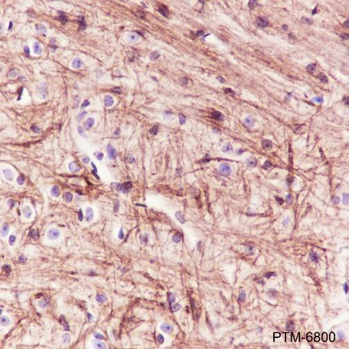
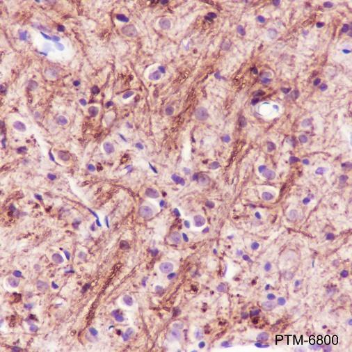
Anti-Myelin Basic Protein Rabbit pAb

Item no. PTM-6800
Manufacturer PTM Biolabs
Amount 100 ul
Category
Type Antibody Polyclonal
Format Lyophilized powder
Applications WB, IHC-P
Specific against Human (Homo sapiens), Mouse (Murine, Mus musculus), Rat (Rattus norvegicus)
Host Rabbit
Isotype IgG
Conjugate/Tag Unconjugated
Citations Junyi Wang, et al. Early exercise intervention promotes myelin repair in the brains of ischemic rats by inhibiting the MEK/ERK pathway. Translational Neuroscience, 2024. https://www.degruyter.com/document/doi/10.1515/tnsci-2022-0335/html.
ECLASS 10.1 32160702
ECLASS 11.0 32160702
UNSPSC 12352203
Alias MBP,Myelin A1 protein,Myelin membrane encephalitogenic protein
Shipping Condition Room temperature
Available
Manufacturer - Type
Primary Antibodies
Manufacturer - Category
Uncategorized
Manufacturer - Targets
Myelin Basic Protein
Shipping Temperature
Ambient temperature
Storage Conditions
Store at -20°C. Avoid freeze/thaw cycles.
Stability
Stable for 12 months from date of receipt/reconstitution.
Manufacturer - Research Area
Neuroscience
Product description
Myelin basic protein (MBP) is an abundant central nervous system (CNS) myelin membrane protein that plays an important role in nerve myelination. Myelin sheaths are multi-layered membranes derived from oligodendrocytes that increase the conduction velocity of axonal impulses. MBP helps to adhere the cytoplasmic leaflets of adjacent oligodendrocyte membranes to one another. Several splice variants of MBP are expressed in cells and the protein is modified following translation (I, e, phosphorylation, methylation), which suggests additional membrane adhesion functions.
Purification Method
Protein A and immunogen affinity purified
Formula
PBS, Glycerol, BSA
PTM
Unmodified
Clonality
Polyclonal
Background
Myelin basic protein (MBP) is an abundant central nervous system (CNS) myelin membrane protein that plays an important role in nerve myelination. Myelin sheaths are multi-layered membranes derived from oligodendrocytes that increase the conduction velocity of axonal impulses. MBP helps to adhere the cytoplasmic leaflets of adjacent oligodendrocyte membranes to one another. Several splice variants of MBP are expressed in cells and the protein is modified following translation (I, e, phosphorylation, methylation), which suggests additional membrane adhesion functions.
Cellular Localization
Membrane, Nucleus

Note: The presented information and documents (Manual, Product Datasheet, Safety Datasheet and Certificate of Analysis) correspond to our latest update and should serve for orientational purpose only. We do not guarantee the topicality. We would kindly ask you to make a request for specific requirements, if necessary.

All products are intended for research use only (RUO). Not for human, veterinary or therapeutic use.

Amount: 100 ul
Available: In stock
available

Compare

Add to wishlist

Get an offer

Request delivery time

Ask a technical question

Submit a bulk request

Questions about this Product?
 
Close