Comparison

Anti-non-Phospho (Active) beta Catenin (Ser33/37/Thr41) Rabbit mAb

Item no. PTM-6817
Manufacturer PTM Biolabs
Amount 100 ul
Category
Type Antibody Monoclonal
Format Lyophilized powder
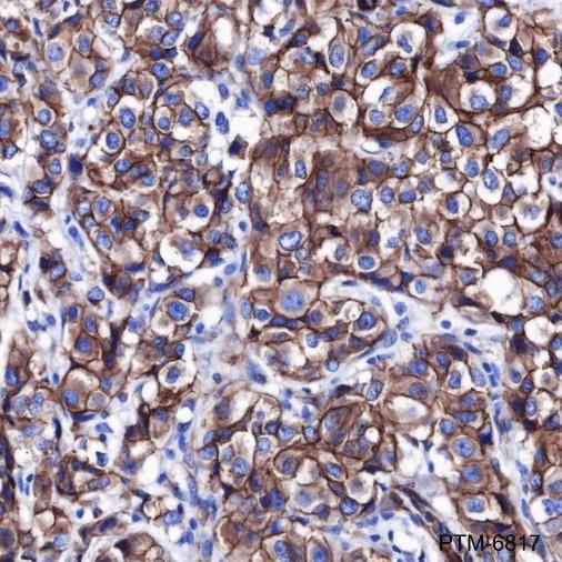
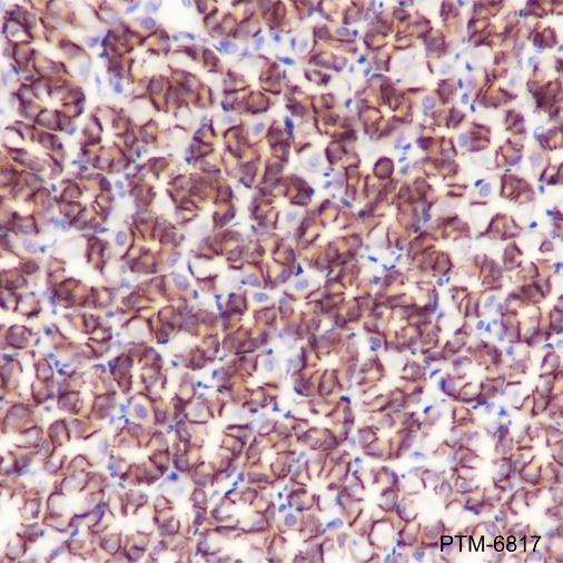
Applications WB, ICC, IHC-P
Clone JMMR-3222
Specific against Human (Homo sapiens), Mouse (Murine, Mus musculus), Rat (Rattus norvegicus)
Host Rabbit
Isotype IgG
Conjugate/Tag Unconjugated
ECLASS 10.1 42030590
ECLASS 11.0 42030590
UNSPSC 12352203
Alias Catenin beta-1,CTNNB1
Shipping Condition Room temperature
Available
Manufacturer - Type
Primary Antibodies
Manufacturer - Applications
WB, IHC-P, ICC/IF
Manufacturer - Category
Uncategorized
Manufacturer - Targets
beta Catenin
Shipping Temperature
Ambient temperature
Storage Conditions
Store at -20°C. Avoid freeze/thaw cycles.
Stability
Stable for 12 months from date of receipt/reconstitution.
Manufacturer - Research Area
Signal Transduction
Product description
β-catenin is a key downstream effector in the Wnt signaling pathway. It is implicated in two major biological processes in vertebrates: early embryonic development and tumorigenesis. CK1 phosphorylates β-catenin at Ser45. This phosphorylation event primes β-catenin for subsequent phosphorylation by GSK-3β. GSK-3β destabilizes β-catenin by phosphorylating it at Ser33, Ser37, and Thr41. Mutations at these sites result in the stabilization of β-catenin protein levels and have been found in many tumor cell lines.Non-phospho (Active) β-Catenin (Ser33/37/Thr41) Rabbit mAb specifically recognizes β-catenin that is non-phosphorylated at Ser33, Ser33 or Thr41. Non-phospho β-Catenin (Ser33, Ser33 or Thr41) protein is useful as a readout of stabilized β-catenin protein, and therefore functionally active in cell-cell adhesion and mediating transcriptional activity via the canonical Wnt signaling pathway.
Purification Method
Protein A purified
Formula
PBS, Glycerol, BSA
PTM
Unmodified
Clonality
Recombinant Monoclonal
Background
β-catenin is a key downstream effector in the Wnt signaling pathway. It is implicated in two major biological processes in vertebrates: early embryonic development and tumorigenesis. CK1 phosphorylates β-catenin at Ser45. This phosphorylation event primes β-catenin for subsequent phosphorylation by GSK-3β. GSK-3β destabilizes β-catenin by phosphorylating it at Ser33, Ser37, and Thr41. Mutations at these sites result in the stabilization of β-catenin protein levels and have been found in many tumor cell lines.Non-phospho (Active) β-Catenin (Ser33/37/Thr41) Rabbit mAb specifically recognizes β-catenin that is non-phosphorylated at Ser33, Ser33 or Thr41. Non-phospho β-Catenin (Ser33, Ser33 or Thr41) protein is useful as a readout of stabilized β-catenin protein, and therefore functionally active in cell-cell adhesion and mediating transcriptional activity via the canonical Wnt signaling pathway.
Cellular Localization
Cytoplasm, Nucleus, Cytoskeleton, Cell membrane, Centrosome

Note: The presented information and documents (Manual, Product Datasheet, Safety Datasheet and Certificate of Analysis) correspond to our latest update and should serve for orientational purpose only. We do not guarantee the topicality. We would kindly ask you to make a request for specific requirements, if necessary.

All products are intended for research use only (RUO). Not for human, veterinary or therapeutic use.

Amount: 100 ul
Available: In stock
available

Compare

Add to wishlist

Get an offer

Request delivery time

Ask a technical question

Submit a bulk request

Questions about this Product?
 
Close