Comparison

Anti-Galectin-9 Rabbit pAb

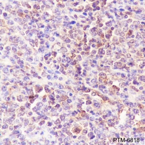
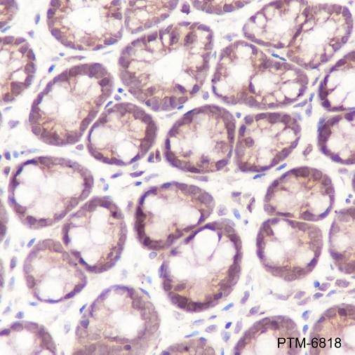
Item no. PTM-6818
Manufacturer PTM Biolabs
Amount 100 ul
Category
Type Antibody Polyclonal
Format Lyophilized powder
Applications WB, IHC-P
Specific against Human (Homo sapiens), Rat (Rattus norvegicus)
Host Rabbit
Isotype IgG
Conjugate/Tag Unconjugated
ECLASS 10.1 32160702
ECLASS 11.0 32160702
UNSPSC 12352203
Alias Gal-9,Ecalectin,Tumor antigen HOM-HD-21,LGALS9
Shipping Condition Room temperature
Available
Manufacturer - Type
Primary Antibodies
Manufacturer - Category
Uncategorized
Manufacturer - Targets
Galectin-9
Shipping Temperature
Ambient temperature
Storage Conditions
Store at -20°C. Avoid freeze/thaw cycles.
Stability
Stable for 12 months from date of receipt/reconstitution.
Manufacturer - Research Area
Cell Biology, Cancer, Neuroscience
Product description
Galectin-9 is induced by proinflammatory stimuli, including IFN-γ, TNF-α, and TLR ligands, and regulates various immune responses through interaction with its ligand TIM-3. Binding of galectin-9 to TIM-3 expressed by Th1 CD4 T cells resulted in T cell death. On the other hand, galectin-9 treatment of tumor-bearing mice increased the number of IFN-γ-producing TIM-3+ CD8 T cells and TIM-3+ dendritic cells. Transgenic overexpression of either TIM-3 or galectin-9 in mice led to an increase in cells with a myeloid-derived suppressor cell phenotype and inhibition of immune responses. CD44 is also proposed to be a receptor for galectin-9, and interaction of galectin-9 with CD44 expressed by induced regulatory T (iTreg) cells enhanced the stability of function of iTreg cells. In addition, galectin-9 was recently demonstrated to bind Dectin-1 expressed by pancreatic ductal adenocarcinoma-infiltrating macrophages, resulting in tolerogenic macrophage reprogramming and suppression of anti-tumor immunity. Increased galectin-9 expression has been observed in several cancer types, including lung, liver, breast, and kidney.
Purification Method
Protein A purified
Formula
PBS, Glycerol, BSA
PTM
Unmodified
Clonality
Polyclonal
Background
Galectin-9 is induced by proinflammatory stimuli, including IFN-γ, TNF-α, and TLR ligands, and regulates various immune responses through interaction with its ligand TIM-3. Binding of galectin-9 to TIM-3 expressed by Th1 CD4 T cells resulted in T cell death. On the other hand, galectin-9 treatment of tumor-bearing mice increased the number of IFN-γ-producing TIM-3+ CD8 T cells and TIM-3+ dendritic cells. Transgenic overexpression of either TIM-3 or galectin-9 in mice led to an increase in cells with a myeloid-derived suppressor cell phenotype and inhibition of immune responses. CD44 is also proposed to be a receptor for galectin-9, and interaction of galectin-9 with CD44 expressed by induced regulatory T (iTreg) cells enhanced the stability of function of iTreg cells. In addition, galectin-9 was recently demonstrated to bind Dectin-1 expressed by pancreatic ductal adenocarcinoma-infiltrating macrophages, resulting in tolerogenic macrophage reprogramming and suppression of anti-tumor immunity. Increased galectin-9 expression has been observed in several cancer types, including lung, liver, breast, and kidney.
Cellular Localization
Cytoplasm, Nucleus, Secreted

Note: The presented information and documents (Manual, Product Datasheet, Safety Datasheet and Certificate of Analysis) correspond to our latest update and should serve for orientational purpose only. We do not guarantee the topicality. We would kindly ask you to make a request for specific requirements, if necessary.

All products are intended for research use only (RUO). Not for human, veterinary or therapeutic use.

Amount: 100 ul
Available: In stock
available

Compare

Add to wishlist

Get an offer

Request delivery time

Ask a technical question

Submit a bulk request

Questions about this Product?
 
Close