Comparison

Anti-Arginase-1 Rabbit pAb

Item no. PTM-6826
Manufacturer PTM Biolabs
Amount 100 ul
Category
Type Antibody Polyclonal
Format Lyophilized powder
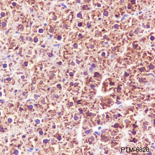
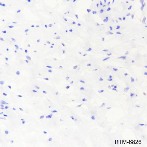
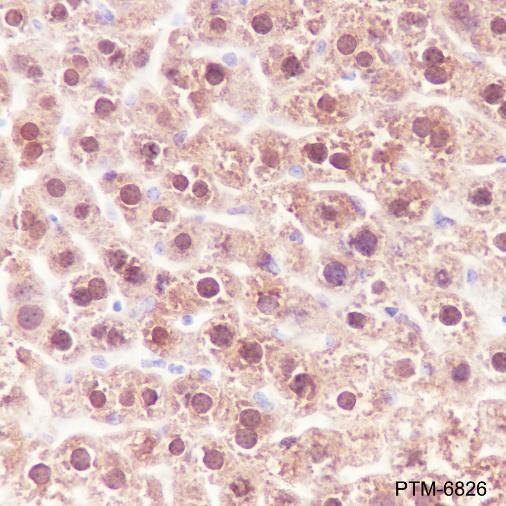
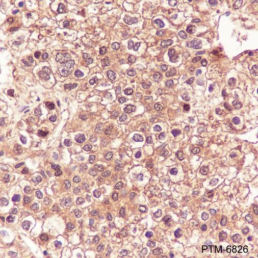
Applications WB, IHC-P
Specific against Human (Homo sapiens), Mouse (Murine, Mus musculus), Rat (Rattus norvegicus)
Host Rabbit
Isotype IgG
Conjugate/Tag Unconjugated
ECLASS 10.1 32160702
ECLASS 11.0 32160702
UNSPSC 12352203
Alias Liver-type arginase,Type I arginase,ARG1
Shipping Condition Room temperature
Available
Manufacturer - Type
Primary Antibodies
Manufacturer - Category
Uncategorized
Manufacturer - Targets
Arginase-1
Shipping Temperature
Ambient temperature
Storage Conditions
Store at -20°C. Avoid freeze/thaw cycles.
Stability
Stable for 12 months from date of receipt/reconstitution.
Manufacturer - Research Area
Signal Transduction, Metabolism
Product description
Arginase-1(ARG1) belongs to the arginase family. It is a novel immunohistochemical marker of hepatocellular differentiation and a marker of hepatocytes and hepatocellular neoplasms. ARG1 is closely associated with alternative macrophage activation and ARG1 has been shown to protect motor neurons from trophic factor deprivation and allow sensory neurons to overcome neurite outgrowth inhibition by myelin proteins. It can exist as a homotrimer and it has 3 isoforms produced by alternative splicing. Defects in ARG1 are the cause of argininemia (ARGIN). ARG1 mainly expresses in neurons in a normal brain. The expression of ARG1 increases in microglia/macrophages and astrocytes early after CNS injuries. ARG1 has been regarded as a marker for beneficial microglia/macrophages and possesses anti-inflammatory and tissue repair properties under various pathological conditions.
Purification Method
Protein A and immunogen affinity purified
Formula
PBS, Glycerol, BSA
PTM
Unmodified
Clonality
Polyclonal
Background
Arginase-1(ARG1) belongs to the arginase family. It is a novel immunohistochemical marker of hepatocellular differentiation and a marker of hepatocytes and hepatocellular neoplasms. ARG1 is closely associated with alternative macrophage activation and ARG1 has been shown to protect motor neurons from trophic factor deprivation and allow sensory neurons to overcome neurite outgrowth inhibition by myelin proteins. It can exist as a homotrimer and it has 3 isoforms produced by alternative splicing. Defects in ARG1 are the cause of argininemia (ARGIN). ARG1 mainly expresses in neurons in a normal brain. The expression of ARG1 increases in microglia/macrophages and astrocytes early after CNS injuries. ARG1 has been regarded as a marker for beneficial microglia/macrophages and possesses anti-inflammatory and tissue repair properties under various pathological conditions.
Cellular Localization
Cytoplasm

Note: The presented information and documents (Manual, Product Datasheet, Safety Datasheet and Certificate of Analysis) correspond to our latest update and should serve for orientational purpose only. We do not guarantee the topicality. We would kindly ask you to make a request for specific requirements, if necessary.

All products are intended for research use only (RUO). Not for human, veterinary or therapeutic use.

Amount: 100 ul
Available: In stock
available

Compare

Add to wishlist

Get an offer

Request delivery time

Ask a technical question

Submit a bulk request

Questions about this Product?
 
Close