Comparison

Anti-LDHA Rabbit pAb

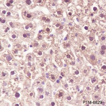
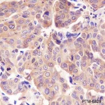
Item no. PTM-6829
Manufacturer PTM Biolabs
Amount 100 ul
Category
Type Antibody Polyclonal
Format Lyophilized powder
Applications WB, IHC-P
Specific against Human (Homo sapiens), Mouse (Murine, Mus musculus), Rat (Rattus norvegicus)
Host Rabbit
Isotype IgG
Conjugate/Tag Unconjugated
ECLASS 10.1 32160702
ECLASS 11.0 32160702
UNSPSC 12352203
Alias L-lactate dehydrogenase A chain
Shipping Condition Room temperature
Available
Manufacturer - Type
Primary Antibodies
Manufacturer - Category
Uncategorized
Manufacturer - Targets
LDHA
Shipping Temperature
Ambient temperature
Storage Conditions
Store at -20°C. Avoid freeze/thaw cycles.
Stability
Stable for 12 months from date of receipt/reconstitution.
Manufacturer - Research Area
Cell Biology, Metabolism
Product description
Lactate dehydrogenase (LDH) catalyzes the interconversion of pyruvate and NADH to lactate and NAD+. When the oxygen supply is too low for mitochondrial ATP production, this reaction recycles NADH generated in glycolysis to NAD+, which reenters glycolysis. The major form of LDH found in muscle cells is the A (LDHA) isozyme. The LDHA promoter contains HIF-1α binding sites. LDHA expression is induced under hypoxic conditions. During intensive and prolonged muscle exercise, lactate accumulates in muscle cells when the supply of oxygen does not meet demand. When oxygen levels return to normal, LDH converts lactate to pyruvate to generate ATP in the mitochondrial electron transport chain.
Purification Method
Protein A and immunogen affinity purified
Formula
PBS, Glycerol, BSA
PTM
Unmodified
Clonality
Polyclonal
Background
Lactate dehydrogenase (LDH) catalyzes the interconversion of pyruvate and NADH to lactate and NAD+. When the oxygen supply is too low for mitochondrial ATP production, this reaction recycles NADH generated in glycolysis to NAD+, which reenters glycolysis. The major form of LDH found in muscle cells is the A (LDHA) isozyme. The LDHA promoter contains HIF-1α binding sites. LDHA expression is induced under hypoxic conditions. During intensive and prolonged muscle exercise, lactate accumulates in muscle cells when the supply of oxygen does not meet demand. When oxygen levels return to normal, LDH converts lactate to pyruvate to generate ATP in the mitochondrial electron transport chain.
Cellular Localization
Cytoplasm, nucleus

Note: The presented information and documents (Manual, Product Datasheet, Safety Datasheet and Certificate of Analysis) correspond to our latest update and should serve for orientational purpose only. We do not guarantee the topicality. We would kindly ask you to make a request for specific requirements, if necessary.

All products are intended for research use only (RUO). Not for human, veterinary or therapeutic use.

Amount: 100 ul
Available: In stock
available

Compare

Add to wishlist

Get an offer

Request delivery time

Ask a technical question

Submit a bulk request

Questions about this Product?
 
Close