Comparison

Anti-Adiponectin Rabbit mAb

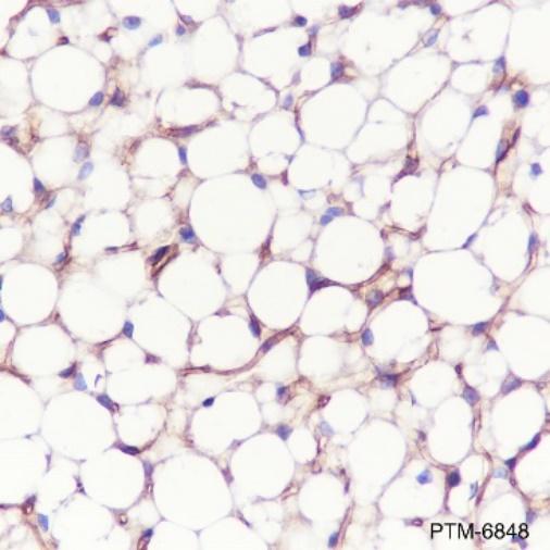
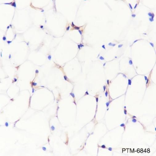
Item no. PTM-6848
Manufacturer PTM Biolabs
Amount 100 ul
Category
Type Antibody Monoclonal
Format Lyophilized powder
Applications WB, IHC-P
Clone JRMR-10724-1
Specific against Mouse (Murine, Mus musculus), Rat (Rattus norvegicus)
Host Rabbit
Isotype IgG
Conjugate/Tag Unconjugated
ECLASS 10.1 42030590
ECLASS 11.0 42030590
UNSPSC 12352203
Alias ACRP30,Gelatin-binding protein,ACDC,ACRP30,APM1,GBP28,ADIPOQ
Shipping Condition Room temperature
Available
Manufacturer - Type
Primary Antibodies
Manufacturer - Category
Uncategorized
Manufacturer - Targets
Adiponectin
Shipping Temperature
Ambient temperature
Storage Conditions
Store at -20°C. Avoid freeze/thaw cycles.
Stability
Stable for 12 months from date of receipt/reconstitution.
Manufacturer - Research Area
Cardiovascular Biology, Signal Transduction, Neuroscience, Stem Cells, Cancer, Metabolism
Product description
Adiponectin (AdipoQ), an adipocyte-derived hormone, is one of the most abundant adipokines in the blood circulation. Adiponectin modulates a number of metabolic processes, including improving INS sensitivity and anti-inflammatory activity. The role of AdipoQ in reproduction is not yet fully understood, but the expression of AdipoQ in reproductive tissues has been observed in various animals and humans, including chicken testis, bovine ovary, and human placenta. Adiponectin exerts its effects by activating a range of different signaling molecules via binding to two transmembrane AdipoQ receptors, AdipoR1 and AdipoR2. AdipoR1 is expressed primarily in the skeletal muscle, whereas AdipoR2 is predominantly expressed in the liver. AdipoQ May play a role in cell growth, angiogenesis and tissue remodeling by binding and sequestering various growth factors.
Purification Method
Protein A purified
Formula
PBS, Glycerol, BSA
PTM
Unmodified
Clonality
Recombinant Monoclonal
Background
Adiponectin (AdipoQ), an adipocyte-derived hormone, is one of the most abundant adipokines in the blood circulation. Adiponectin modulates a number of metabolic processes, including improving INS sensitivity and anti-inflammatory activity. The role of AdipoQ in reproduction is not yet fully understood, but the expression of AdipoQ in reproductive tissues has been observed in various animals and humans, including chicken testis, bovine ovary, and human placenta. Adiponectin exerts its effects by activating a range of different signaling molecules via binding to two transmembrane AdipoQ receptors, AdipoR1 and AdipoR2. AdipoR1 is expressed primarily in the skeletal muscle, whereas AdipoR2 is predominantly expressed in the liver. AdipoQ May play a role in cell growth, angiogenesis and tissue remodeling by binding and sequestering various growth factors.
Cellular Localization
Secreted

Note: The presented information and documents (Manual, Product Datasheet, Safety Datasheet and Certificate of Analysis) correspond to our latest update and should serve for orientational purpose only. We do not guarantee the topicality. We would kindly ask you to make a request for specific requirements, if necessary.

All products are intended for research use only (RUO). Not for human, veterinary or therapeutic use.

Amount: 100 ul
Available: In stock
available

Compare

Add to wishlist

Get an offer

Request delivery time

Ask a technical question

Submit a bulk request

Questions about this Product?
 
Close