Comparison

Anti-TMS1/ASC Rabbit mAb

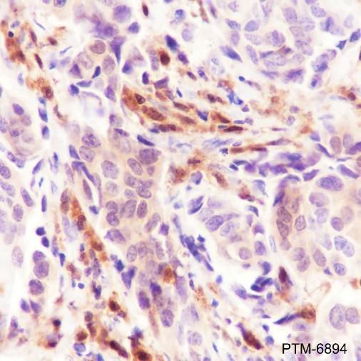
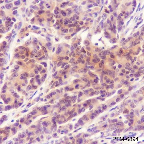
Item no. PTM-6894
Manufacturer PTM Biolabs
Amount 100 ul
Category
Type Antibody Monoclonal
Format Lyophilized powder
Applications WB, ICC, IHC-P
Clone JMMR-3478
Specific against Human (Homo sapiens)
Host Rabbit
Isotype IgG
Conjugate/Tag Unconjugated
ECLASS 10.1 42030590
ECLASS 11.0 42030590
UNSPSC 12352203
Alias PYCARD,hASC,CARD5
Shipping Condition Room temperature
Available
Manufacturer - Type
Primary Antibodies
Manufacturer - Applications
WB, IHC-P, ICC/IF
Manufacturer - Category
Uncategorized
Manufacturer - Targets
TMS1/ASC
Shipping Temperature
Ambient temperature
Storage Conditions
Store at -20°C. Avoid freeze/thaw cycles.
Stability
Stable for 12 months from date of receipt/reconstitution.
Manufacturer - Research Area
Cell Biology, Cancer, Neuroscience
Product description
Target of methylation-induced silencing (TMS1)/Apoptosis-associated speck-like protein containing a CARD (ASC), also referred to as PYCARD and CARD5, is a 22-kDa pro-apoptotic protein containing an N-terminal pyrin domain (PYD) and a C-terminal caspase recruitment domain (CARD). The ASC/TMS1 gene was originally found to be aberrantly methylated and silenced in breast cancer cells, and has since been found to be silenced in a number of other cancers, including ovarian cancer, glioblastoma, melanoma, gastric cancer, lung cancer, and prostate cancer. Expression of ASC/TMS1 can be induced by pro-apoptotic/inflammatory stimuli. During apoptosis ASC/TMS1 is re-distributed from the cytosol to the mitochondria and associates with mitochondrial Bax to trigger cytochrome c release and subsequent apoptosis. ASC/TMS1 has also been found to be a critical component of inflammatory signaling where it associates with and activates caspase-1 in response to pro-inflammatory signals.
Purification Method
Protein A purified
Formula
PBS, Glycerol, BSA
PTM
Unmodified
Clonality
Recombinant Monoclonal
Background
Target of methylation-induced silencing (TMS1)/Apoptosis-associated speck-like protein containing a CARD (ASC), also referred to as PYCARD and CARD5, is a 22-kDa pro-apoptotic protein containing an N-terminal pyrin domain (PYD) and a C-terminal caspase recruitment domain (CARD). The ASC/TMS1 gene was originally found to be aberrantly methylated and silenced in breast cancer cells, and has since been found to be silenced in a number of other cancers, including ovarian cancer, glioblastoma, melanoma, gastric cancer, lung cancer, and prostate cancer. Expression of ASC/TMS1 can be induced by pro-apoptotic/inflammatory stimuli. During apoptosis ASC/TMS1 is re-distributed from the cytosol to the mitochondria and associates with mitochondrial Bax to trigger cytochrome c release and subsequent apoptosis. ASC/TMS1 has also been found to be a critical component of inflammatory signaling where it associates with and activates caspase-1 in response to pro-inflammatory signals.
Cellular Localization
Cytoplasm, Nucleus, Mitochondrion, Endoplasmic reticulum, Membrane

Note: The presented information and documents (Manual, Product Datasheet, Safety Datasheet and Certificate of Analysis) correspond to our latest update and should serve for orientational purpose only. We do not guarantee the topicality. We would kindly ask you to make a request for specific requirements, if necessary.

All products are intended for research use only (RUO). Not for human, veterinary or therapeutic use.

Amount: 100 ul
Available: In stock
available

Compare

Add to wishlist

Get an offer

Request delivery time

Ask a technical question

Submit a bulk request

Questions about this Product?
 
Close