Comparison

Anti-CAD Rabbit pAb

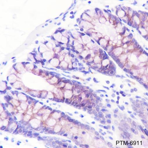
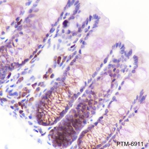
Item no. PTM-6911
Manufacturer PTM Biolabs
Amount 100 ul
Category
Type Antibody Polyclonal
Format Lyophilized powder
Applications WB, IHC-P
Specific against Human (Homo sapiens), Mouse (Murine, Mus musculus), Rat (Rattus norvegicus)
Host Rabbit
Isotype IgG
Conjugate/Tag Unconjugated
ECLASS 10.1 32160702
ECLASS 11.0 32160702
UNSPSC 12352203
Alias Aspartate carbamoyltransferase
Shipping Condition Room temperature
Available
Manufacturer - Type
Primary Antibodies
Manufacturer - Category
Uncategorized
Manufacturer - Targets
CAD
Shipping Temperature
Ambient temperature
Storage Conditions
Store at -20°C. Avoid freeze/thaw cycles.
Stability
Stable for 12 months from date of receipt/reconstitution.
Manufacturer - Research Area
Cell Biology, Cancer, Metabolism
Product description
CAD is essential for the de novo synthesis of pyrimidine nucleotides and possesses the following enzymatic activities: glutamine amidotransferase, carbamoylphosphate synthetase, aspartate transcarbamoylase, and dihydroorotase. Thus, the enzyme converts glutamine to uridine monophosphate, a common precursor of all pyrimidine bases, and it is necessary for nucleic acid synthesis. In resting cells, CAD is localized mainly in the cytoplasm where it carries out pyrimidine synthesis. As proliferating cells enter S phase, MAP Kinase (Erk1/2) phosphorlyates CAD at Thr456, resulting in CAD translocation to the nucleus. As cells exit S phase, CAD is dephosphorylated at Thr456 and phosphorylated at Ser1406 by PKA, returning the pathway to basal activity. S6 kinase 1 (S6K1) is a downstream ribosomal protein target of mTORC1 and directly phosphorylates Ser1859 on CAD. This phosphorylation stimulates the first three steps of the de novo pyrimidine synthesis and thus helps to advance the cells overall progression through S phase of the cell cycle.
Purification Method
Protein A and immunogen affinity purified
Formula
PBS, Glycerol, BSA
PTM
Unmodified
Clonality
Polyclonal
Background
CAD is essential for the de novo synthesis of pyrimidine nucleotides and possesses the following enzymatic activities: glutamine amidotransferase, carbamoylphosphate synthetase, aspartate transcarbamoylase, and dihydroorotase. Thus, the enzyme converts glutamine to uridine monophosphate, a common precursor of all pyrimidine bases, and it is necessary for nucleic acid synthesis. In resting cells, CAD is localized mainly in the cytoplasm where it carries out pyrimidine synthesis. As proliferating cells enter S phase, MAP Kinase (Erk1/2) phosphorlyates CAD at Thr456, resulting in CAD translocation to the nucleus. As cells exit S phase, CAD is dephosphorylated at Thr456 and phosphorylated at Ser1406 by PKA, returning the pathway to basal activity. S6 kinase 1 (S6K1) is a downstream ribosomal protein target of mTORC1 and directly phosphorylates Ser1859 on CAD. This phosphorylation stimulates the first three steps of the de novo pyrimidine synthesis and thus helps to advance the cells overall progression through S phase of the cell cycle.
Cellular Localization
Cytoplasm, Nucleus

Note: The presented information and documents (Manual, Product Datasheet, Safety Datasheet and Certificate of Analysis) correspond to our latest update and should serve for orientational purpose only. We do not guarantee the topicality. We would kindly ask you to make a request for specific requirements, if necessary.

All products are intended for research use only (RUO). Not for human, veterinary or therapeutic use.

Amount: 100 ul
Available: In stock
available

Compare

Add to wishlist

Get an offer

Request delivery time

Ask a technical question

Submit a bulk request

Questions about this Product?
 
Close