Comparison

Anti-Placental Alkaline Phosphatase / PLAP Rabbit pAb

Item no. PTM-6943
Manufacturer PTM Biolabs
Amount 100 ul
Category
Type Antibody Polyclonal
Format Lyophilized powder
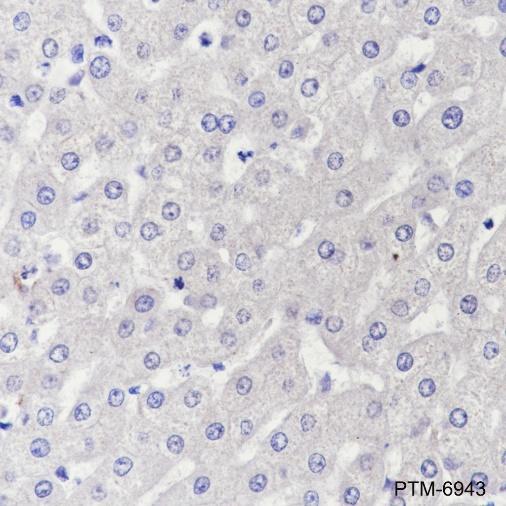
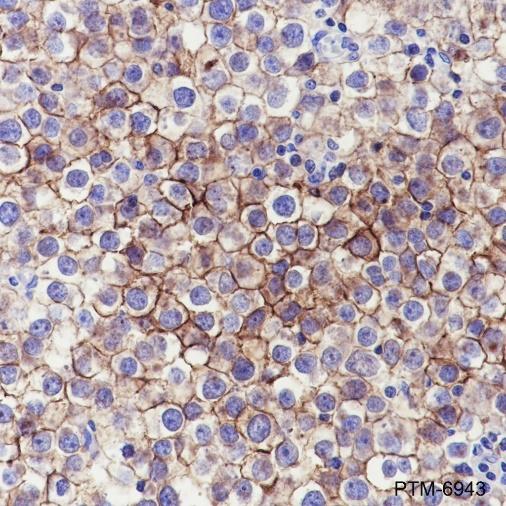
Applications WB, IHC-P
Specific against Human (Homo sapiens)
Host Rabbit
Isotype IgG
Conjugate/Tag Unconjugated
ECLASS 10.1 32160702
ECLASS 11.0 32160702
UNSPSC 12352203
Alias ALPP
Shipping Condition Room temperature
Available
Manufacturer - Type
Primary Antibodies
Manufacturer - Category
Uncategorized
Manufacturer - Targets
Placental Alkaline Phosphatase / PLAP
Shipping Temperature
Ambient temperature
Storage Conditions
Store at -20°C. Avoid freeze/thaw cycles.
Stability
Stable for 12 months from date of receipt/reconstitution.
Manufacturer - Research Area
Immunology
Product description
Placental alkaline phosphatase (PLAP) is a glycosyl phosphatidylinositol (GPI)-anchored sialoglycoprotein, which shows greater resistance to heat inactivation than other alkaline phosphatase. Presented at high levels in placental trophoblasts, PLAP is recognized as an important marker of differentiation in human malignancies.
Purification Method
Protein A and immunogen affinity purified
Formula
PBS, Glycerol, BSA
PTM
Unmodified
Clonality
Polyclonal
Background
Placental alkaline phosphatase (PLAP) is a glycosyl phosphatidylinositol (GPI)-anchored sialoglycoprotein , which shows greater resistance to heat inactivation than other alkaline phosphatase. Presented at high levels in placental trophoblasts, PLAP is recognized as an important marker of differentiation in human malignancies.
Cellular Localization
Membrane

Note: The presented information and documents (Manual, Product Datasheet, Safety Datasheet and Certificate of Analysis) correspond to our latest update and should serve for orientational purpose only. We do not guarantee the topicality. We would kindly ask you to make a request for specific requirements, if necessary.

All products are intended for research use only (RUO). Not for human, veterinary or therapeutic use.

Amount: 100 ul
Available: In stock
available

Compare

Add to wishlist

Get an offer

Request delivery time

Ask a technical question

Submit a bulk request

Questions about this Product?
 
Close