Comparison

Anti-DDB2 Rabbit mAb

Item no. PTM-6963
Manufacturer PTM Biolabs
Amount 100 ul
Category
Type Antibody Monoclonal
Format Lyophilized powder
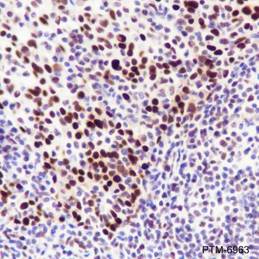
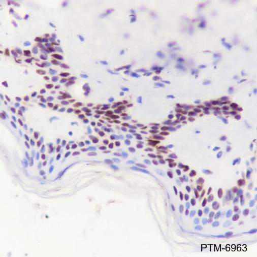
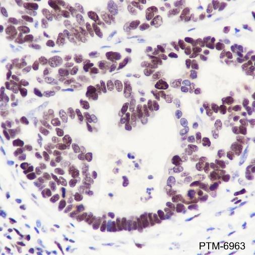
Applications WB, IHC-P
Clone JMMR-3439
Specific against Human (Homo sapiens)
Host Rabbit
Isotype IgG
Conjugate/Tag Unconjugated
ECLASS 10.1 42030590
ECLASS 11.0 42030590
UNSPSC 12352203
Alias DDBb,UV-DDB 2,Damage-specific DNA-binding protein 2
Shipping Condition Room temperature
Available
Manufacturer - Type
Primary Antibodies
Manufacturer - Category
Uncategorized
Manufacturer - Targets
DDB2
Shipping Temperature
Ambient temperature
Storage Conditions
Store at -20°C. Avoid freeze/thaw cycles.
Stability
Stable for 12 months from date of receipt/reconstitution.
Manufacturer - Research Area
Epigenetics
Product description
Damaged DNA-Binding Protein (DDB) consists of a 127 kDa subunit (DDB-1) and a 48 kDa subunit (DDB-2) that contribute to the formation of the UV-damaged DNA-binding protein complex (UV-DDB). In conjunction with CUL4A and ROC-1, the UV-DDB complex forms an E3 ubiquitin ligase that recognizes a broad spectrum of DNA lesions such as cyclobutane pyrimidine dimers, 6-4 photoproducts, apurinic sites and short mismatches. The complex polyubiquitinates components of the nucleotide excision repair pathway. Loss of DDB activity has been identified in a subset of xeroderma pigmentosum complementation group E (XP-E) patients and has been linked to the deficient repair of cyclobutane pyrimidine dimers in cells derived from these patients.
Purification Method
Protein A purified
Formula
PBS, Glycerol, BSA
PTM
Unmodified
Clonality
Recombinant Monoclonal
Background
Damaged DNA-Binding Protein (DDB) consists of a 127 kDa subunit (DDB-1) and a 48 kDa subunit (DDB-2) that contribute to the formation of the UV-damaged DNA-binding protein complex (UV-DDB). In conjunction with CUL4A and ROC-1, the UV-DDB complex forms an E3 ubiquitin ligase that recognizes a broad spectrum of DNA lesions such as cyclobutane pyrimidine dimers, 6-4 photoproducts, apurinic sites and short mismatches. The complex polyubiquitinates components of the nucleotide excision repair pathway. Loss of DDB activity has been identified in a subset of xeroderma pigmentosum complementation group E (XP-E) patients and has been linked to the deficient repair of cyclobutane pyrimidine dimers in cells derived from these patients.
Cellular Localization
Nucleus

Note: The presented information and documents (Manual, Product Datasheet, Safety Datasheet and Certificate of Analysis) correspond to our latest update and should serve for orientational purpose only. We do not guarantee the topicality. We would kindly ask you to make a request for specific requirements, if necessary.

All products are intended for research use only (RUO). Not for human, veterinary or therapeutic use.

Amount: 100 ul
Available: In stock
available

Compare

Add to wishlist

Get an offer

Request delivery time

Ask a technical question

Submit a bulk request

Questions about this Product?
 
Close