Comparison

Anti-HSP90 beta Rabbit pAb

Item no. PTM-6970
Manufacturer PTM Biolabs
Amount 100 ul
Category
Type Antibody Polyclonal
Format Lyophilized powder
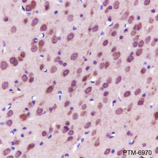
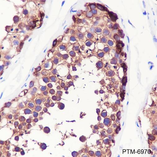
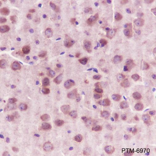
Applications WB, IHC-P
Specific against Human (Homo sapiens), Mouse (Murine, Mus musculus), Rat (Rattus norvegicus)
Host Rabbit
Isotype IgG
Conjugate/Tag Unconjugated
ECLASS 10.1 32160702
ECLASS 11.0 32160702
UNSPSC 12352203
Alias HSP 90,HSP90AB1,HSP90B,HSPC2,HSPCB
Shipping Condition Room temperature
Available
Manufacturer - Type
Primary Antibodies
Manufacturer - Category
Uncategorized
Manufacturer - Targets
HSP90 beta
Shipping Temperature
Ambient temperature
Storage Conditions
Store at -20°C. Avoid freeze/thaw cycles.
Stability
Stable for 12 months from date of receipt/reconstitution.
Manufacturer - Research Area
Cell Biology
Product description
HSP90 beta, also known as HSP90AB1, is a member of HSP90 family which includes cytosolic HSP90 alpha (HSP90AA1) and HSP90 beta, endoplasmic reticulum related GRP74, mitochondrial TRAP1. HSP90 proteins play a versatile role in cell regulation, forming complexes with a large number of cellular kinases, transcription factors, and other molecules. Upregulation of HSP90AB1 has been found in various cancers.
Purification Method
Protein A and immunogen affinity purified
Formula
PBS, Glycerol, BSA
PTM
Unmodified
Clonality
Polyclonal
Background
HSP90 beta, also known as HSP90AB1, is a member of HSP90 family which includes cytosolic HSP90 alpha (HSP90AA1) and HSP90 beta, endoplasmic reticulum related GRP74, mitochondrial TRAP1. HSP90 proteins play a versatile role in cell regulation, forming complexes with a large number of cellular kinases, transcription factors, and other molecules. Upregulation of HSP90AB1 has been found in various cancers.
Cellular Localization
Cytoplasm

Note: The presented information and documents (Manual, Product Datasheet, Safety Datasheet and Certificate of Analysis) correspond to our latest update and should serve for orientational purpose only. We do not guarantee the topicality. We would kindly ask you to make a request for specific requirements, if necessary.

All products are intended for research use only (RUO). Not for human, veterinary or therapeutic use.

Amount: 100 ul
Available: In stock
available

Compare

Add to wishlist

Get an offer

Request delivery time

Ask a technical question

Submit a bulk request

Questions about this Product?
 
Close