Comparison

Anti-beta III Tubulin Rabbit mAb

Item no. PTM-6976
Manufacturer PTM Biolabs
Amount 100 ul
Category
Type Antibody Monoclonal
Format Lyophilized powder
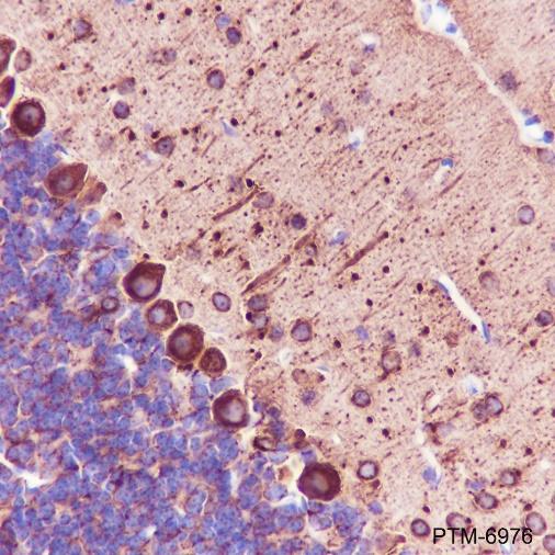
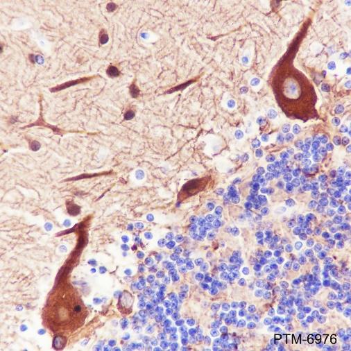
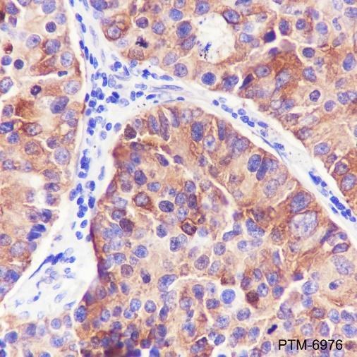
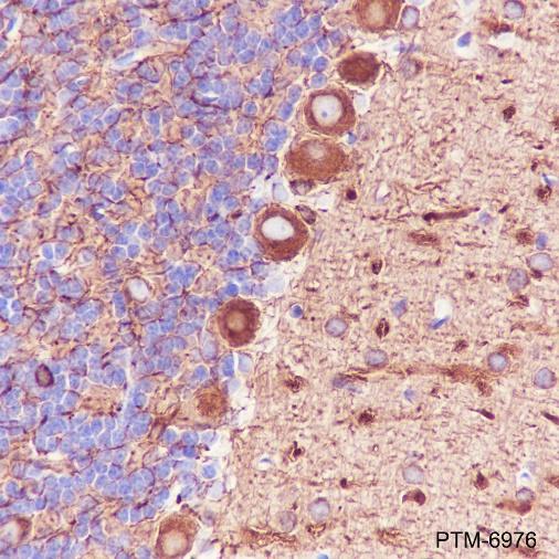
Applications WB, IHC-P
Clone JRMR-10637-31
Specific against Human (Homo sapiens), Mouse (Murine, Mus musculus), Rat (Rattus norvegicus)
Host Rabbit
Isotype IgG
Conjugate/Tag Unconjugated
ECLASS 10.1 42030590
ECLASS 11.0 42030590
UNSPSC 12352203
Alias Tubulin beta-3 chain,Tubulin beta-4 chain
Shipping Condition Room temperature
Available
Manufacturer - Type
Primary Antibodies
Manufacturer - Category
Organelle Marker Antibodies
Manufacturer - Targets
beta III Tubulin
Shipping Temperature
Ambient temperature
Storage Conditions
Store at -20°C. Avoid freeze/thaw cycles.
Stability
Stable for 12 months from date of receipt/reconstitution.
Manufacturer - Research Area
Neuroscience, Signal Transduction
Product description
Beta III Tubulin (TUBB3) is one of six β-tubulin isoforms and is expressed highly during fetal and postnatal development (axon guidance and maturation). Its expression levels decrease in the adult central nervous system (CNS) but remain high in the peripheral nervous system (PNS). Microtubules enriched in β3-tubulin are more dynamic than those composed of other β-tubulin isoforms. Research studies have shown that mutations in the β3-tubulin gene TUBB3 cause ocular motility defects and other nervous system disorders. Furthermore, β3-tubulin is present in neoplastic but not in normal differentiated glial cells. Thus, β3-tubulin is a great neuronal marker.
Purification Method
Protein A purified
Formula
PBS, Glycerol, BSA
PTM
Unmodified
Clonality
Recombinant Monoclonal
Background
Beta III Tubulin (TUBB3) is one of six β-tubulin isoforms and is expressed highly during fetal and postnatal development (axon guidance and maturation). Its expression levels decrease in the adult central nervous system (CNS) but remain high in the peripheral nervous system (PNS). Microtubules enriched in β3-tubulin are more dynamic than those composed of other β-tubulin isoforms. Research studies have shown that mutations in the β3-tubulin gene TUBB3 cause ocular motility defects and other nervous system disorders. Furthermore, β3-tubulin is present in neoplastic but not in normal differentiated glial cells. Thus, β3-tubulin is a great neuronal marker.
Cellular Localization
Cytoskeleton

Note: The presented information and documents (Manual, Product Datasheet, Safety Datasheet and Certificate of Analysis) correspond to our latest update and should serve for orientational purpose only. We do not guarantee the topicality. We would kindly ask you to make a request for specific requirements, if necessary.

All products are intended for research use only (RUO). Not for human, veterinary or therapeutic use.

Amount: 100 ul
Available: In stock
available

Compare

Add to wishlist

Get an offer

Request delivery time

Ask a technical question

Submit a bulk request

Questions about this Product?
 
Close