Comparison

Anti-Sin1 Mouse mAb

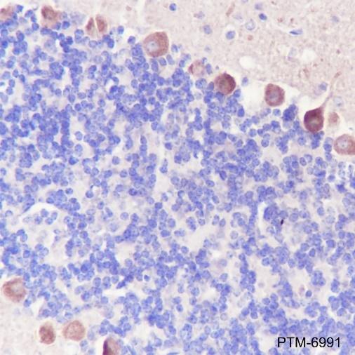
Item no. PTM-6991
Manufacturer PTM Biolabs
Amount 100 ul
Category
Type Antibody Monoclonal
Format Lyophilized powder
Applications WB, IHC-P
Clone JMMR-3344
Specific against Human (Homo sapiens), Mouse (Murine, Mus musculus)
Host Mouse
Isotype IgG2a
Conjugate/Tag Unconjugated
ECLASS 10.1 42030590
ECLASS 11.0 42030590
UNSPSC 12352203
Alias MAPKAP1,MIP1,SIN1
Shipping Condition Room temperature
Available
Manufacturer - Type
Primary Antibodies
Manufacturer - Category
Uncategorized
Manufacturer - Targets
Sin1
Shipping Temperature
Ambient temperature
Storage Conditions
Store at -20°C. Avoid freeze/thaw cycles.
Stability
Stable for 12 months from date of receipt/reconstitution.
Manufacturer - Research Area
Signal Transduction
Product description
Sin1 is the subunit of mTORC2. mTOR is a large protein kinase that is a component of two different complexes. The mTOR complex 1 (mTORC1), a target of rapamycin, contains mTOR, GβL, and raptor. mTORC2, insensitive to rapamycin, includes mTOR, GβL, Sin1, and rictor. The mTORC2 complex phosphorylates Ser473 of Akt/PKB in vitro. This phosphorylation is essential for full Akt/PKB activation. Furthermore, an siRNA knockdown of rictor inhibits Ser473 phosphorylation in 3T3-L1 adipocytes. mTORC2 has also been shown to phosphorylate the rapamycin-resistant mutants of S6K1, another effector of mTOR. In addition, phosphorylation of Sin1 at Thr86 by Akt/PKB was shown to regulate the activity of mTORC2 in adipocytes upon stimulation by growth factors.
Purification Method
Protein A purified
Formula
PBS, Glycerol, BSA
PTM
Unmodified
Clonality
Recombinant Monoclonal
Background
Sin1 is the subunit of mTORC2. mTOR is a large protein kinase that is a component of two different complexes. The mTOR complex 1 (mTORC1), a target of rapamycin, contains mTOR, GβL, and raptor. mTORC2, insensitive to rapamycin, includes mTOR, GβL, Sin1, and rictor. The mTORC2 complex phosphorylates Ser473 of Akt/PKB in vitro. This phosphorylation is essential for full Akt/PKB activation. Furthermore, an siRNA knockdown of rictor inhibits Ser473 phosphorylation in 3T3-L1 adipocytes. mTORC2 has also been shown to phosphorylate the rapamycin-resistant mutants of S6K1, another effector of mTOR. In addition, phosphorylation of Sin1 at Thr86 by Akt/PKB was shown to regulate the activity of mTORC2 in adipocytes upon stimulation by growth factors.
Cellular Localization
Membrane, Nucleus

Note: The presented information and documents (Manual, Product Datasheet, Safety Datasheet and Certificate of Analysis) correspond to our latest update and should serve for orientational purpose only. We do not guarantee the topicality. We would kindly ask you to make a request for specific requirements, if necessary.

All products are intended for research use only (RUO). Not for human, veterinary or therapeutic use.

Amount: 100 ul
Available: In stock
available

Compare

Add to wishlist

Get an offer

Request delivery time

Ask a technical question

Submit a bulk request

Questions about this Product?
 
Close