Comparison

Anti-Metabotropic Glutamate Receptor 2 / MGLUR2 Rabbit pAb

Item no. PTM-7004
Manufacturer PTM Biolabs
Amount 100 ul
Category
Type Antibody Polyclonal
Format Lyophilized powder
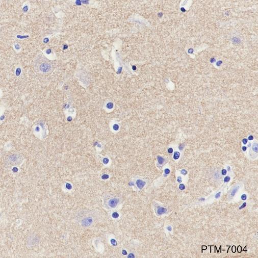
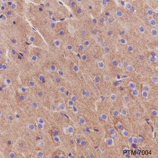
Applications WB, IHC-P
Specific against Human (Homo sapiens), Mouse (Murine, Mus musculus), Rat (Rattus norvegicus)
Host Rabbit
Isotype IgG
Conjugate/Tag Unconjugated
ECLASS 10.1 32160702
ECLASS 11.0 32160702
UNSPSC 12352203
Alias mGluR2,GRM2,GPRC1B
Shipping Condition Room temperature
Available
Manufacturer - Type
Primary Antibodies
Manufacturer - Category
Uncategorized
Manufacturer - Targets
Metabotropic Glutamate Receptor 2 / MGLUR2
Shipping Temperature
Ambient temperature
Storage Conditions
Store at -20°C. Avoid freeze/thaw cycles.
Stability
Stable for 12 months from date of receipt/reconstitution.
Manufacturer - Research Area
Neuroscience
Product description
Metabotropic glutamate receptor 2 (mGluR2) is a class C G protein-coupled receptor for the neurotransmitter glutamate in the mammalian brain. Unlike ionotropic receptors, metabotropic receptors do not form an ion channel pore themselves but are indirectly linked to ion channels. While mGluR1 and mGluR5 activate phospholipase C, mGluR2, mGluR3, mGluR4, and mGluR6 are coupled to the inhibitory G protein Gα(i/o) and inhibit adenylyl cyclase (AC) activity. Research studies have suggested that mGluR2/3 receptors may be potential targets for the treatment of Schizophrenia. Furthermore, mGluR2 interacts with the 5HT2A serotonin receptor to form a heterocomplex in the brain. This complex is a potential pharmacological target for hallucinogenic drugs.
Purification Method
Protein A and immunogen affinity purified
Formula
PBS, Glycerol, BSA
PTM
Unmodified
Clonality
Polyclonal
Background
Metabotropic glutamate receptor 2 (mGluR2) is a class C G protein-coupled receptor for the neurotransmitter glutamate in the mammalian brain. Unlike ionotropic receptors, metabotropic receptors do not form an ion channel pore themselves but are indirectly linked to ion channels. While mGluR1 and mGluR5 activate phospholipase C, mGluR2, mGluR3, mGluR4, and mGluR6 are coupled to the inhibitory G protein Gα(i/o) and inhibit adenylyl cyclase (AC) activity. Research studies have suggested that mGluR2/3 receptors may be potential targets for the treatment of Schizophrenia. Furthermore, mGluR2 interacts with the 5HT2A serotonin receptor to form a heterocomplex in the brain. This complex is a potential pharmacological target for hallucinogenic drugs.
Cellular Localization
Cell membrane

Note: The presented information and documents (Manual, Product Datasheet, Safety Datasheet and Certificate of Analysis) correspond to our latest update and should serve for orientational purpose only. We do not guarantee the topicality. We would kindly ask you to make a request for specific requirements, if necessary.

All products are intended for research use only (RUO). Not for human, veterinary or therapeutic use.

Amount: 100 ul
Available: In stock
available

Compare

Add to wishlist

Get an offer

Request delivery time

Ask a technical question

Submit a bulk request

Questions about this Product?
 
Close