Comparison

Anti-SMARCC2/BAF170 Rabbit pAb

Item no. PTM-7036
Manufacturer PTM Biolabs
Amount 100 ul
Category
Type Antibody Polyclonal
Format Lyophilized powder
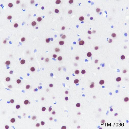
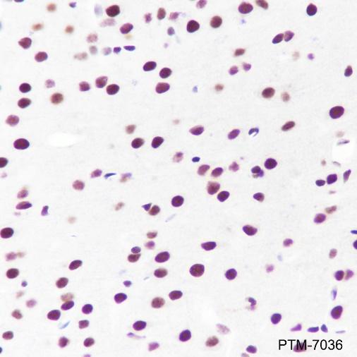
Applications WB, IHC-P
Specific against Human (Homo sapiens), Mouse (Murine, Mus musculus), Rat (Rattus norvegicus)
Host Rabbit
Isotype IgG
Conjugate/Tag Unconjugated
ECLASS 10.1 32160702
ECLASS 11.0 32160702
UNSPSC 12352203
Alias SWI/SNF complex subunit SMARCC2,BRG1-associated factor 170 (BAF170),SWI/SNF complex 170 kDa subunit,SWI/SNF-related matrix-associated actin-dependent regulator of chromatin subfamily C member 2,SMARCC2,BAF170
Shipping Condition Room temperature
Available
Manufacturer - Type
Primary Antibodies
Manufacturer - Category
Uncategorized
Manufacturer - Targets
SMARCC2/BAF170
Shipping Temperature
Ambient temperature
Storage Conditions
Store at -20°C. Avoid freeze/thaw cycles.
Stability
Stable for 12 months from date of receipt/reconstitution.
Manufacturer - Research Area
Epigenetics
Product description
SMARCC2/BAF170 is one of the core subunits of the SWI/SNF complex, which is necessary for efficient nucleosome remodeling by Brg1 in vitro. While SMARCC2/BAF170 has been shown to be part of the SWI/SNF complex in non-pluripotent cells, it is absent in pluripotent embryonic stem (ES) cells. Research studies have shown that expression of SMARCC2/BAF170 is up-regulated in neurons/neuronal progenitors upon differentiation of mouse ES cells with retinoic acid, and exogenous expression of SMARCC2/BAF170 leads to loss of stem cell pluripotency and self renewal.
Purification Method
Protein A and immunogen affinity purified
Formula
PBS, Glycerol, BSA
PTM
Unmodified
Clonality
Polyclonal
Background
SMARCC2/BAF170 is one of the core subunits of the SWI/SNF complex, which is necessary for efficient nucleosome remodeling by Brg1 in vitro. While SMARCC2/BAF170 has been shown to be part of the SWI/SNF complex in non-pluripotent cells, it is absent in pluripotent embryonic stem (ES) cells. Research studies have shown that expression of SMARCC2/BAF170 is up-regulated in neurons/neuronal progenitors upon differentiation of mouse ES cells with retinoic acid, and exogenous expression of SMARCC2/BAF170 leads to loss of stem cell pluripotency and self renewal.
Cellular Localization
Nucleus

Note: The presented information and documents (Manual, Product Datasheet, Safety Datasheet and Certificate of Analysis) correspond to our latest update and should serve for orientational purpose only. We do not guarantee the topicality. We would kindly ask you to make a request for specific requirements, if necessary.

All products are intended for research use only (RUO). Not for human, veterinary or therapeutic use.

Amount: 100 ul
Available: In stock
available

Compare

Add to wishlist

Get an offer

Request delivery time

Ask a technical question

Submit a bulk request

Questions about this Product?
 
Close