Comparison

Anti-Von Willebrand Factor Rabbit mAb

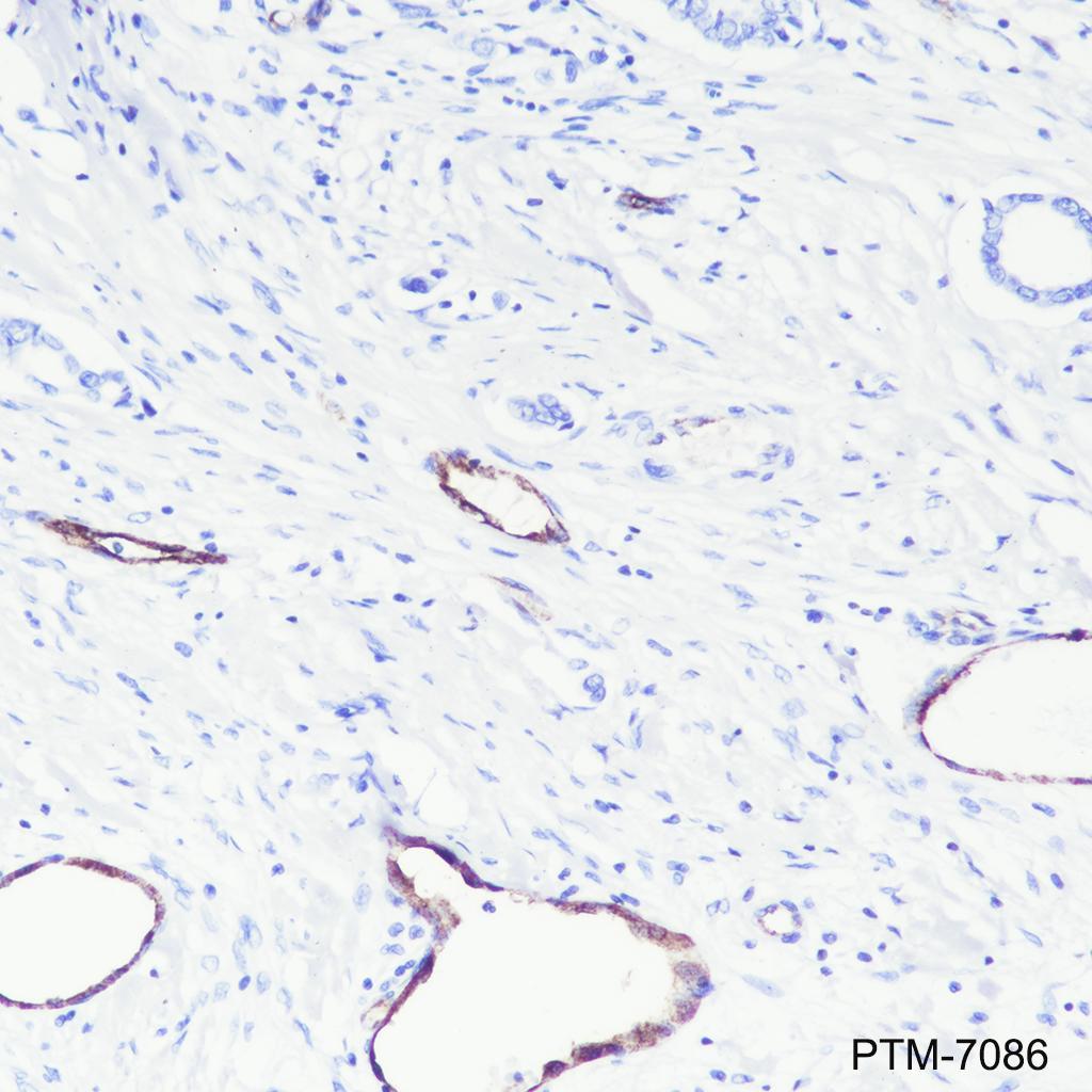
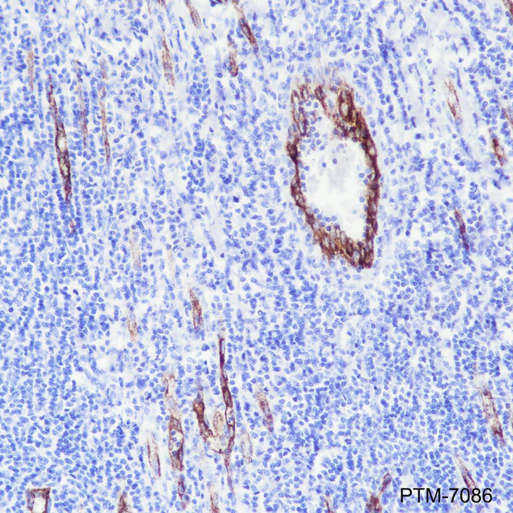
Item no. PTM-7086
Manufacturer PTM Biolabs
Amount 100 ul
Category
Type Antibody Monoclonal
Format Lyophilized powder
Applications WB, IHC-P
Clone JRMR-10117(2)-19
Specific against Human (Homo sapiens), Mouse (Murine, Mus musculus)
Host Rabbit
Isotype IgG
Conjugate/Tag Unconjugated
ECLASS 10.1 42030590
ECLASS 11.0 42030590
UNSPSC 12352203
Alias vWF,F8VWF,VWD,Von Willebrand antigen II
Shipping Condition Room temperature
Available
Manufacturer - Type
Primary Antibodies
Manufacturer - Category
Uncategorized
Manufacturer - Targets
Von Willebrand Factor
Shipping Temperature
Ambient temperature
Storage Conditions
Store at -20°C. Avoid freeze/thaw cycles.
Stability
Stable for 12 months from date of receipt/reconstitution.
Manufacturer - Research Area
Cardiovascular Biology, Cancer, Stem Cells
Product description
VWF (Von Willebrand factor) is a multimeric plasma glycoprotein that promotes adhesion of platelets to sites of vascular injury. Mature circulating VWF is made up of disulfide-bonded multimers that are in a complex with factor VIII. VWF is stored in secretory Weibel-Palade bodies in endothelial cells. It is synthesized as a large precursor protein and undergoes extensive posttranslational modifications including dimerization in the endoplasmic reticulum followed by cleavage of the pro-peptide and multimerization in the Golgi apparatus. VWF is important in hemostasis, and genetic defects in the structure and modification of VWF can cause von Willebrand disease (VWD), the most common congenital bleeding disorder in humans.  Alternatively, increased levels of VWF have been shown to be involved in acute coronary thrombosis and are a clinical risk marker for atherosclerosis.
Purification Method
Protein A purified
Formula
PBS, Glycerol, BSA
PTM
Unmodified
Clonality
Recombinant Monoclonal
Background
VWF (Von Willebrand factor) is a multimeric plasma glycoprotein that promotes adhesion of platelets to sites of vascular injury. Mature circulating VWF is made up of disulfide-bonded multimers that are in a complex with factor VIII. VWF is stored in secretory Weibel-Palade bodies in endothelial cells. It is synthesized as a large precursor protein and undergoes extensive posttranslational modifications including dimerization in the endoplasmic reticulum followed by cleavage of the pro-peptide and multimerization in the Golgi apparatus. VWF is important in hemostasis, and genetic defects in the structure and modification of VWF can cause von Willebrand disease (VWD), the most common congenital bleeding disorder in humans.  Alternatively, increased levels of VWF have been shown to be involved in acute coronary thrombosis and are a clinical risk marker for atherosclerosis.
Cellular Localization
Secreted

Note: The presented information and documents (Manual, Product Datasheet, Safety Datasheet and Certificate of Analysis) correspond to our latest update and should serve for orientational purpose only. We do not guarantee the topicality. We would kindly ask you to make a request for specific requirements, if necessary.

All products are intended for research use only (RUO). Not for human, veterinary or therapeutic use.

Amount: 100 ul
Available: In stock
available

Compare

Add to wishlist

Get an offer

Request delivery time

Ask a technical question

Submit a bulk request

Questions about this Product?
 
Close