Comparison

Anti-eIF3G Rabbit mAb

Item no. PTM-7101
Manufacturer PTM Biolabs
Amount 100 ul
Category
Type Antibody Monoclonal
Format Lyophilized powder
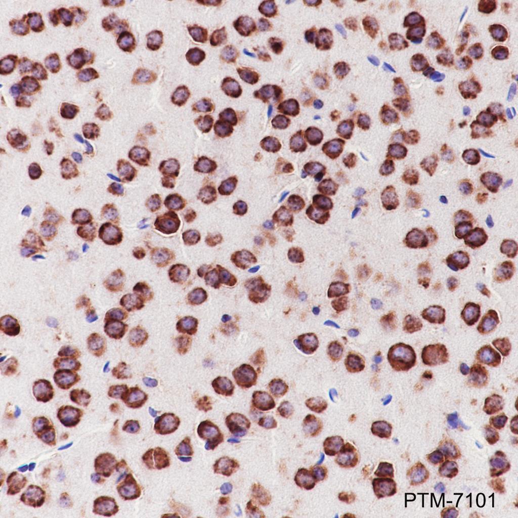
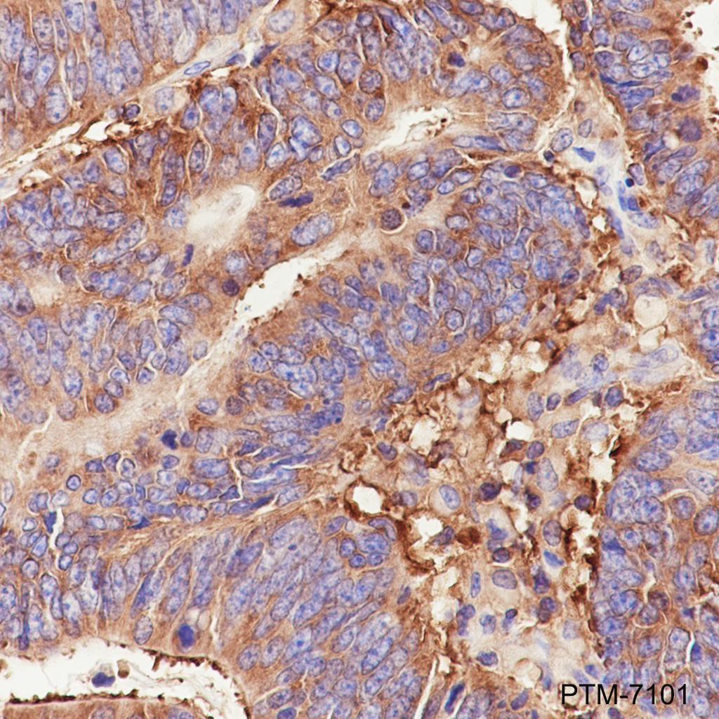
Applications WB, FC, ICC, IHC-P
Clone JRMR-11085-26
Specific against Human (Homo sapiens), Mouse (Murine, Mus musculus), Rat (Rattus norvegicus)
Host Rabbit
Isotype IgG
Conjugate/Tag Unconjugated
ECLASS 10.1 42030590
ECLASS 11.0 42030590
UNSPSC 12352203
Alias EIF3S4,eIF3 p42,eIF3 p44,eIF-3-delta
Shipping Condition Room temperature
Available
Manufacturer - Type
Primary Antibodies
Manufacturer - Applications
WB, IHC-P, ICC/IF, FC
Manufacturer - Category
Uncategorized
Manufacturer - Targets
eIF3G
Shipping Temperature
Ambient temperature
Storage Conditions
Store at -20°C. Avoid freeze/thaw cycles.
Stability
Stable for 12 months from date of receipt/reconstitution.
Manufacturer - Research Area
Epigenetics
Product description
eIF3 is a large translation initiation complex with 10 to 13 different subunits. eIF3A, eIF3B, eIF3C, eIF3E, eIF3F, and eIF3H are the core subunits critical for the function of this complex. eIF3 physically interacts with eIF4G, which may be responsible for the association of the 40S ribosomal subunit with mRNA. eIF3 also stabilizes the binding of Met-tRNAf.eIF2.GTP to the 40S ribosomal subunit and helps keep the integrity of the resulting complex upon addition of the 60S ribosomal subunit. Studies have shown that mTOR interacts with eIF3 directly. When cells are stimulated by hormones or mitogenic signals, mTOR binds to the eIF3 complex and phosphorylates S6K1. This process results in the dissociation of S6K1 from eIF3 and S6K1 activation. The activated S6K1 then phosphorylates its downstream targets including ribosomal protein S6 and eIF4B, resulting in stimulation of translation. Further findings demonstrated that activated mTOR signaling induces the association of eIF3 with eIF4G upon stimulation with insulin.
Purification Method
Protein A purified
Formula
PBS, Glycerol, BSA
PTM
Unmodified
Clonality
Recombinant Monoclonal
Background
eIF3 is a large translation initiation complex with 10 to 13 different subunits. eIF3A, eIF3B, eIF3C, eIF3E, eIF3F, and eIF3H are the core subunits critical for the function of this complex. eIF3 physically interacts with eIF4G, which may be responsible for the association of the 40S ribosomal subunit with mRNA. eIF3 also stabilizes the binding of Met-tRNAf.eIF2.GTP to the 40S ribosomal subunit and helps keep the integrity of the resulting complex upon addition of the 60S ribosomal subunit. Studies have shown that mTOR interacts with eIF3 directly. When cells are stimulated by hormones or mitogenic signals, mTOR binds to the eIF3 complex and phosphorylates S6K1. This process results in the dissociation of S6K1 from eIF3 and S6K1 activation. The activated S6K1 then phosphorylates its downstream targets including ribosomal protein S6 and eIF4B, resulting in stimulation of translation. Further findings demonstrated that activated mTOR signaling induces the association of eIF3 with eIF4G upon stimulation with insulin.
Cellular Localization
Nucleus, Cytoplasm

Note: The presented information and documents (Manual, Product Datasheet, Safety Datasheet and Certificate of Analysis) correspond to our latest update and should serve for orientational purpose only. We do not guarantee the topicality. We would kindly ask you to make a request for specific requirements, if necessary.

All products are intended for research use only (RUO). Not for human, veterinary or therapeutic use.

Amount: 100 ul
Available: In stock
available

Compare

Add to wishlist

Get an offer

Request delivery time

Ask a technical question

Submit a bulk request

Questions about this Product?
 
Close