Comparison

Anti-CTCFL Rabbit mAb

Item no. PTM-7455
Manufacturer PTM Biolabs
Amount 100 ul
Category
Type Antibody Monoclonal
Format Lyophilized powder
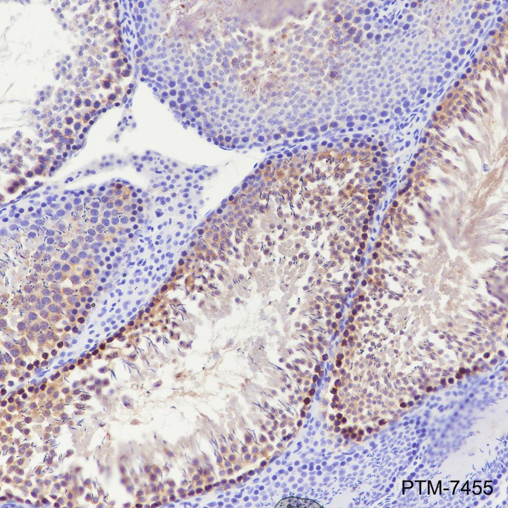
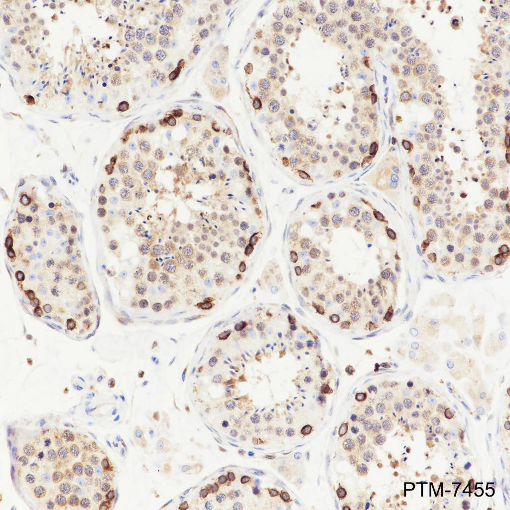
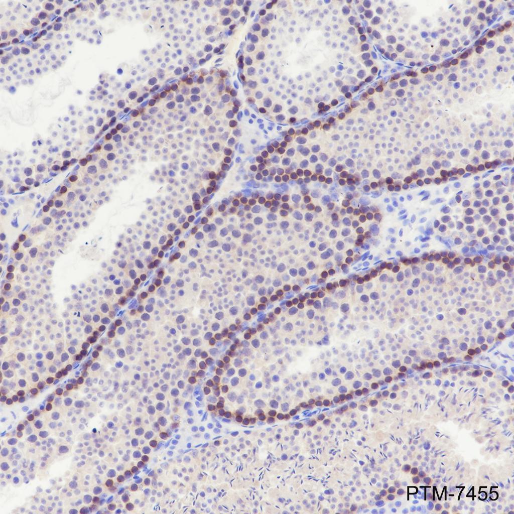
Applications WB, IHC-P
Clone JRMR-N1208
Specific against Human (Homo sapiens), Mouse (Murine, Mus musculus), Rat (Rattus norvegicus)
Host Rabbit
Isotype IgG
Conjugate/Tag Unconjugated
ECLASS 10.1 42030590
ECLASS 11.0 42030590
UNSPSC 12352203
Alias BORIS
Shipping Condition Room temperature
Available
Manufacturer - Type
Primary Antibodies
Manufacturer - Category
Uncategorized
Manufacturer - Targets
CTCFL
Shipping Temperature
Ambient temperature
Storage Conditions
Store at -20°C. Avoid freeze/thaw cycles.
Molecular Weight
75
Stability
Stable for 12 months from date of receipt/reconstitution.
Product description
Testis-specific DNA binding protein responsible for insulator function, nuclear architecture and transcriptional control, which probably acts byrecruiting epigenetic chromatin modifiers. Plays a key role in gene imprinting in male germline, by participating in the establishment ofdifferential methylation at the IGF2/H19 imprinted control region (ICR). Directly binds the unmethylated H19 ICR and recruits the PRMT7methyltransferase, leading to methylate histone H4 'Arg-3' to form H4R3sme2. This probably leads to recruit de novo DNAmethyltransferases at these sites. Seems to act as tumor suppressor. In association with DNMT1 and DNMT3B, involved in activation ofBAG1 gene expression by binding to its promoter. Required for dimethylation of H3 lysine 4 (H3K4me2) of MYC and BRCA1 promoters
Purification Method
Protein A purified
Formula
PBS, Glycerol, BSA
PTM
Unmodified
Clonality
Recombinant Monoclonal

Note: The presented information and documents (Manual, Product Datasheet, Safety Datasheet and Certificate of Analysis) correspond to our latest update and should serve for orientational purpose only. We do not guarantee the topicality. We would kindly ask you to make a request for specific requirements, if necessary.

All products are intended for research use only (RUO). Not for human, veterinary or therapeutic use.

Amount: 100 ul
Available: In stock
available

Delivery expected until 2/19/2026 

Compare

Add to wishlist

Get an offer

Request delivery time

Ask a technical question

Submit a bulk request

Questions about this Product?
 
Close