Comparison

Anti-RBBP7/RBBP4 Rabbit mAb

Item no. PTM-7470
Manufacturer PTM Biolabs
Amount 100 ul
Category
Type Antibody Monoclonal
Format Lyophilized powder
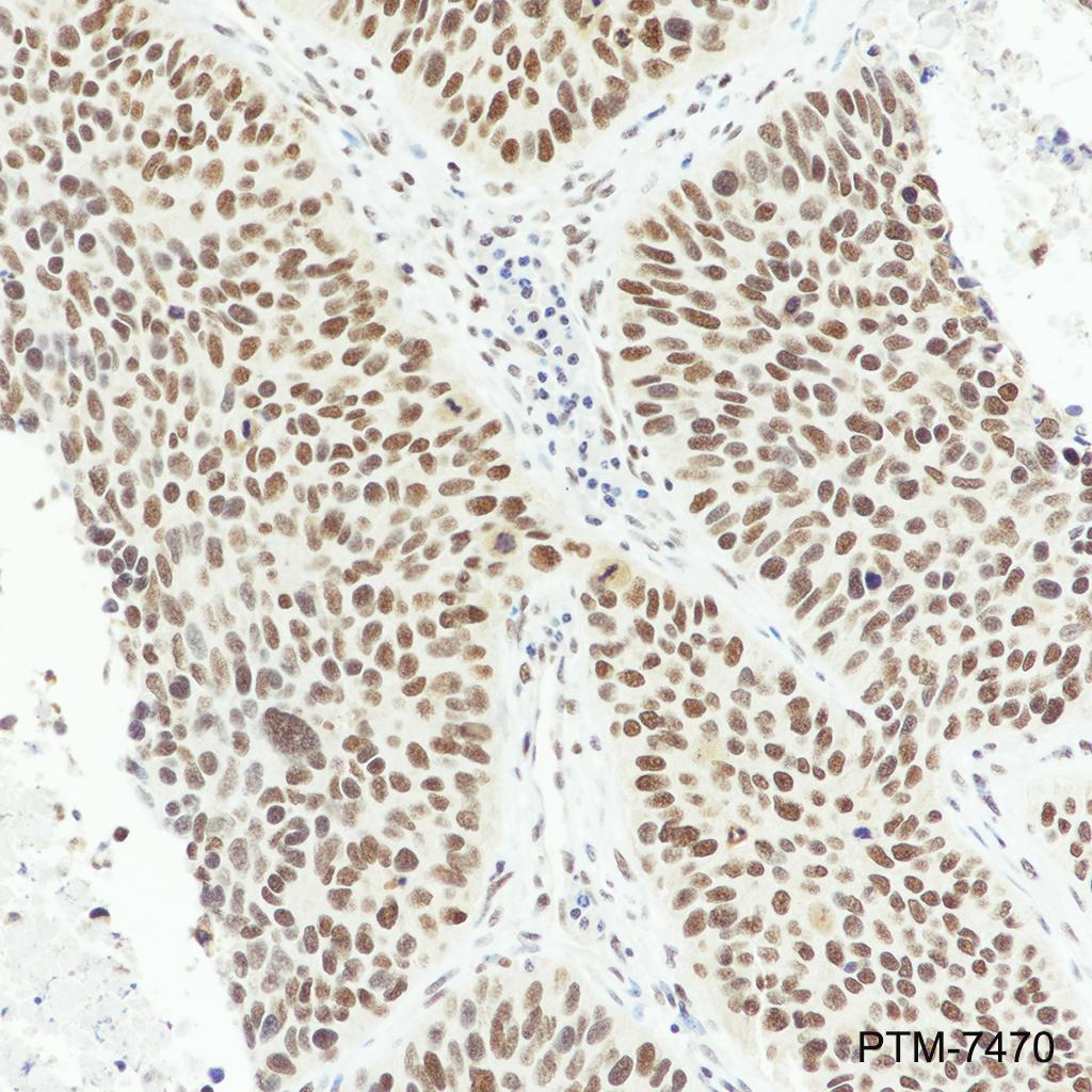
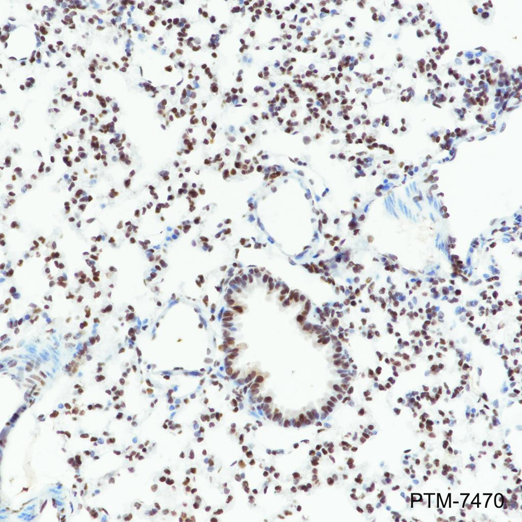
Applications WB, FC, IP, IHC-P, CHIP
Clone JRMR-N1216
Specific against Human (Homo sapiens), Mouse (Murine, Mus musculus), Rat (Rattus norvegicus)
Host Rabbit
Isotype IgG
Conjugate/Tag Unconjugated
ECLASS 10.1 42030590
ECLASS 11.0 42030590
UNSPSC 12352203
Alias RBAP46,RBAP48
Shipping Condition Room temperature
Available
Manufacturer - Type
Primary Antibodies
Manufacturer - Category
Uncategorized
Manufacturer - Targets
RBBP4, RBBP7
Shipping Temperature
Ambient temperature
Storage Conditions
Store at -20°C. Avoid freeze/thaw cycles.
Molecular Weight
50
Stability
Stable for 12 months from date of receipt/reconstitution.
Product description
Retinoblastoma-associated proteins 46 and 48 (RBAP46 and RBAP48, also known as RBBP7 and RBBP4), were first identified in humancells as proteins that bind to retinoblastoma (Rb) tumor suppressor proteins. Since then, these proteins have been shown to be componentsof a number of protein complexes involved in chromatin regulation, including the chromatin assembly factor 1 (CAF-1) complex and the Btype histone acetyltransferase complex, HAT1, both of which are involved in chromatin assembly during DNA replication. RBAP46 andRBAP48 are also present in the nucleosome remodeling factor complex, NURF, and the nucleosome remodeling and histone deacetylationcomplex NuRD, and the Sin3/HDAC histone deacetylation complex. Recently, RBAP46 and RBAP48 were identified as components of thepolyribonucleic acid repressor complex PRC2, which also contains EED and Ezh2. RBAP46 and RBAP48 bind to the histone folding regionof histone H4 and are thought to target these chromatin remodeling, histone acetylation and histone deacetylation complexes to their histonesubstrates.
Purification Method
Protein A purified
Formula
PBS, Glycerol, BSA
PTM
Unmodified
Clonality
Recombinant Monoclonal

Note: The presented information and documents (Manual, Product Datasheet, Safety Datasheet and Certificate of Analysis) correspond to our latest update and should serve for orientational purpose only. We do not guarantee the topicality. We would kindly ask you to make a request for specific requirements, if necessary.

All products are intended for research use only (RUO). Not for human, veterinary or therapeutic use.

Amount: 100 ul
Available: In stock
available

Delivery expected until 2/19/2026 

Compare

Add to wishlist

Get an offer

Request delivery time

Ask a technical question

Submit a bulk request

Questions about this Product?
 
Close