Comparison

Anti-SMARCC2/BAF170 Rabbit mAb

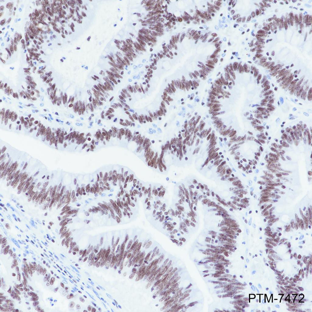
Item no. PTM-7472
Manufacturer PTM Biolabs
Amount 100 ul
Category
Type Antibody Monoclonal
Format Lyophilized powder
Applications WB, FC, IP, IHC-P
Clone JRMR-N1218
Specific against Human (Homo sapiens), Mouse (Murine, Mus musculus)
Host Rabbit
Isotype IgG
Conjugate/Tag Unconjugated
ECLASS 10.1 42030590
ECLASS 11.0 42030590
UNSPSC 12352203
Alias SWI/SNF complex subunit SMARCC2,BRG1-associated factor 170 (BAF170),SWI/SNF complex 170 kDa subunit,SWI/SNF-related matrix-associated actin-dependent regulator of chromatin subfamily C member 2,SMARCC2,BAF170
Shipping Condition Room temperature
Available
Manufacturer - Type
Primary Antibodies
Manufacturer - Category
Uncategorized
Manufacturer - Targets
SMARCC2/BAF170
Shipping Temperature
Ambient temperature
Storage Conditions
Store at -20°C. Avoid freeze/thaw cycles.
Molecular Weight
170
Stability
Stable for 12 months from date of receipt/reconstitution.
Product description
Involved in transcriptional activation and repression of select genes by chromatin remodeling (alteration of DNA-nucleosome topology).Component of SWI/SNF chromatin remodeling complexes that carry out key enzymatic activities, changing chromatin structure by alteringDNA-histone contacts within a nucleosome in an ATP-dependent manner. BAF170 is one of the core subunits of the SWI/SNF complex, which is necessary for efficient nucleosome remodeling by Brg1 in vitro. While BAF170 has been shown to be part of the SWI/SNF complexin non-pluripotent cells, it is absent in pluripotent embryonic stem (ES) cells. Research studies have shown that expression of BAF170 is upregulated in neurons/neuronal progenitors upon differentiation of mouse ES cells with retinoic acid, and exogenous expression of BAF170leads to loss of stem cell pluripotency and self renewal.
Purification Method
Protein A purified
Formula
PBS, Glycerol, BSA
PTM
Unmodified
Clonality
Recombinant Monoclonal

Note: The presented information and documents (Manual, Product Datasheet, Safety Datasheet and Certificate of Analysis) correspond to our latest update and should serve for orientational purpose only. We do not guarantee the topicality. We would kindly ask you to make a request for specific requirements, if necessary.

All products are intended for research use only (RUO). Not for human, veterinary or therapeutic use.

Amount: 100 ul
Available: In stock
available

Delivery expected until 2/19/2026 

Compare

Add to wishlist

Get an offer

Request delivery time

Ask a technical question

Submit a bulk request

Questions about this Product?
 
Close