Comparison

TRIM72 Antibody (C-term)

Item no. ABC-AP11980b
Manufacturer Abcepta
Amount 400 ul
Category
Type Antibody Primary
Format Purified polyclonal antibody supplied in PBS with 0.09% (W/V) sodium azide. This antibody is purified through a protein A column, followed by peptide affinity purification.
Applications WB, IHC-P
Specific against other
Host Rabbit
Isotype Ig
ECLASS 10.1 32160702
ECLASS 11.0 32160702
UNSPSC 12352203
Similar products MG53, Tripartite motif-containing protein 72, Mitsugumin-53, Mg53, TRIM72 (HGNC:32671)
Available
Primary Accession
Q6ZMU5
Antigen Type
Synthetic Peptide
Application
IHC-P, WB
Bio Background
TRIM72 is a muscle-specific protein that plays a central role in cell membrane repair by nucleating the assembly of the repair machinery at injury sites. Specifically binds phosphatidylserine. Acts as a sensor of oxidation: upon membrane damage, entry of extracellular oxidative environment results in disulfide bond formation and homooligomerization at the injury site. This oligomerization acts as a nucleation site for recruitment of TRIM72-containing vesicles to the injury site, leading to membrane patch formation. Probably acts upstream of the Ca(2+)-dependent membrane resealing process. Required for transport of DYSF to sites of cell injury during repair patch formation. Regulates membrane budding and exocytosis. May be involved in the regulation of the mobility of KCNB1-containing endocytic vesicles (By similarity).
Bio References
Park, E.Y., et al. Proteins 78(3):790-795(2010)
Han, S., et al. Hum. Mol. Genet. 18(6):1171-1180(2009)
Martin, J., et al. Nature 432(7020):988-994(2004)
Clonality
Polyclonal
Clone/Animal Names
RB29696
Gene ID
493829
Gene Name
TRIM72 (HGNC:32671)
Subtitle
Affinity Purified Rabbit Polyclonal Antibody (Pab)
Reactivity
H, M, Rat
Legend image 1
All lanes : Anti-TRIM72 Antibody (C-term) at 1:2000 dilution
Lane 1: HCT116 whole cell lysate
Lane 2: human skeletal muscle lysate
Lane 3: mouse skeletal muscle lysate
Lane 4: rat skeletal muscle lysate

Lysates/proteins at 20 µg per lane.

Secondary
Goat Anti-Rabbit IgG, (H+L), Peroxidase conjugated at 1/10000 dilution.

Predicted band size : 53 kDa

Blocking/Dilution buffer: 5% NFDM/TBST.
Type image 1
WB
Dilution image 1
1:2000
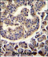
Legend image 2
TRIM72 Antibody (C-term) (Cat. #AP11980b)immunohistochemistry analysis in formalin fixed and paraffin embedded human pancreas tissue followed by peroxidase conjugation of the secondary antibody and DAB staining.This data demonstrates the use of TRIM72 Antibody (C-term) for immunohistochemistry. Clinical relevance has not been evaluated.
Type image 2
IHC-P
Dilution image 2
1:10~50
Other Accession
NP_001008275.2
Isotype
Rabbit Ig
Calculated MW
52731
Antigen Region
299-327
Antigen Source
HUMAN
Target/Specificity
This TRIM72 antibody is generated from rabbits immunized with a KLH conjugated synthetic peptide between 299-327 amino acids from the C-terminal region of human TRIM72.
NCBI Accession
NP_001008275.2

Note: The presented information and documents (Manual, Product Datasheet, Safety Datasheet and Certificate of Analysis) correspond to our latest update and should serve for orientational purpose only. We do not guarantee the topicality. We would kindly ask you to make a request for specific requirements, if necessary.

All products are intended for research use only (RUO). Not for human, veterinary or therapeutic use.

Amount: 400 ul
Available: In stock
available

Delivery expected until 11/6/2025 

Compare

Add to wishlist

Get an offer

Request delivery time

Ask a technical question

Submit a bulk request

Questions about this Product?
 
Close