Comparison

HtrA1 Antibody (N-term)

Item no. ABC-AP1331A
Manufacturer Abcepta
Amount 200 ul
Category
Type Antibody Polyclonal
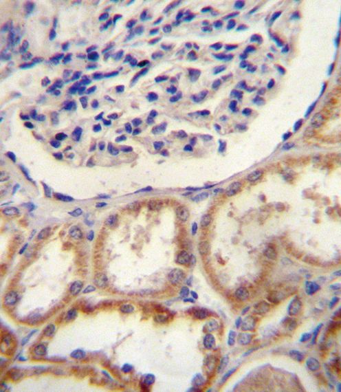
Applications WB, IF, IHC-P
Specific against Human (Homo sapiens), Mouse (Murine, Mus musculus)
Host Rabbit
Isotype IgG
Citations Howes, N., et al., Clin Gastroenterol Hepatol 2(3):252-261 (2004).
Chien, J., et al., Oncogene 23(8):1636-1644 (2004).
Hu, S.I., et al., J. Biol. Chem. 273(51):34406-34412 (1998).
Zumbrunn, J., et al., Genomics 45(2):461-462 (1997).
Zumbrunn, J., et al., FEBS Lett. 398 (2-3), 187-192 (1996).
NCBI NP_002766.1
ECLASS 10.1 32160702
ECLASS 11.0 32160702
UNSPSC 12352203
Alias Serine protease HTRA1,3421-,High-temperature requirement A serine peptidase 1,L56,Serine protease 11,HTRA1,HTRA,PRSS11
Similar products HTRA1, HTRA, PRSS11, Serine protease HTRA1, High-temperature requirement A serine peptidase 1, L56, Serine protease 11, 3421-
Available
Manufacturer - Category
Primary Antibodies; Signal Transduction; Catalog Updated
Manufacturer - Targets
This HtrA1 antibody is generated from rabbits immunized with a KLH conjugated synthetic peptide between 116-147 amino acids from the N-terminal region of human HtrA1.
Bio Background
HtrA1 a member of the trypsin family of serine proteases. This protein is a secreted enzyme that is proposed to regulate the availability of insulin-like growth factors (IGFs) by cleaving IGF-binding proteins. It has also been suggested to be a regulator of cell growth.
Clonality
Polyclonal
Polyclonal Antibody Additonal Information
RB02326
Gene Name
HTRA1
Subtitle
Purified Rabbit Polyclonal Antibody (Pab)
Reactivity
H, M
Calculated Molecular Weight
51287
Antigen Source
HUMAN
Antigen Region
116-147
Formulation
Purified polyclonal antibody supplied in PBS with 0.09% (W/V) sodium azide. This antibody is prepared by Saturated Ammonium Sulfate (SAS) precipitation followed by dialysis against PBS.
Dilution
WB: 1:1000
IF: 1:10~50
WB: 1:2000
IHC-P: 1:10~50
Antigen Type
Synthetic Peptide

Note: The presented information and documents (Manual, Product Datasheet, Safety Datasheet and Certificate of Analysis) correspond to our latest update and should serve for orientational purpose only. We do not guarantee the topicality. We would kindly ask you to make a request for specific requirements, if necessary.

All products are intended for research use only (RUO). Not for human, veterinary or therapeutic use.

Amount: 200 ul
Available: In stock
available

Compare

Add to wishlist

Get an offer

Request delivery time

Ask a technical question

Submit a bulk request

Questions about this Product?
 
Close