Comparison

ADRA1D Antibody (N-term)

Item no. ABC-AP20589a-ev
Manufacturer Abcepta
Amount 80 ul
Category
Type Antibody Polyclonal
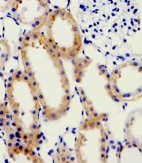
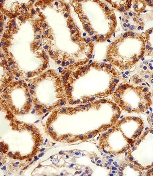
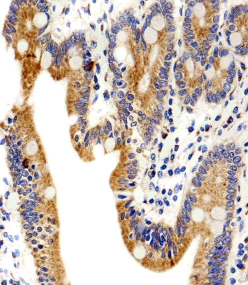
Applications WB, FC, IHC-P
Specific against Human (Homo sapiens), Rat (Rattus norvegicus)
Host Rabbit
Isotype IgG
Citations Bruno J.F.,et al.Biochem. Biophys. Res. Commun. 179:1485-1490(1991).
Forray C.,et al.Mol. Pharmacol. 45:703-708(1994).
Schwinn D.A.,et al.J. Pharmacol. Exp. Ther. 272:134-142(1995).
Weinberg D.H.,et al.Biochem. Biophys. Res. Commun. 201:1296-1304(1994).
Esbenshade T.A.,et al.Mol. Pharmacol. 47:977-985(1995).
ECLASS 10.1 32160702
ECLASS 11.0 32160702
UNSPSC 12352203
Alias Alpha-1D adrenergic receptor,Alpha-1A adrenergic receptor,Alpha-1D adrenoreceptor,Alpha-1D adrenoceptor,Alpha-adrenergic receptor 1a,ADRA1D,ADRA1A
Similar products ADRA1A, ADRA1D, Alpha-1A adrenergic receptor, Alpha-1D adrenergic receptor, Alpha-1D adrenoreceptor, Alpha-1D adrenoceptor, Alpha-adrenergic receptor 1a
Available
Manufacturer - Category
Primary Antibodies; Antibody Collections; Cardiovascular; Neuroscience; Signal Transduction; GPCR Antibodies; Catalog Updated; Druggable G protein-coupled receptors (GPCRs)
Manufacturer - Targets
This ADRA1D antibody is generated from a rabbit immunized with a KLH conjugated synthetic peptide between 1-30amino acids from the N-terminal region of human ADRA1D.
Bio Background
This alpha-adrenergic receptor mediates its effect through the influx of extracellular calcium.
Clonality
Polyclonal
Polyclonal Antibody Additonal Information
RB46798
Gene Name
ADRA1D
Subtitle
Purified Rabbit Polyclonal Antibody (Pab)
Reactivity
H, Rat
Predicted Reactivity
M, Rb, B, D, Sh
Calculated Molecular Weight
60463
Antigen Source
HUMAN
Antigen Region
1-30
Formulation
Purified polyclonal antibody supplied in PBS with 0.09% (W/V) sodium azide. This antibody is purified through a protein A column, followed by peptide affinity purification.
Dilution
WB: 1:1000
IHC-P: 1:25
IHC-P: 1:25
IHC-P: 1:25
FC: 1:25
Antigen Type
Synthetic Peptide

Note: The presented information and documents (Manual, Product Datasheet, Safety Datasheet and Certificate of Analysis) correspond to our latest update and should serve for orientational purpose only. We do not guarantee the topicality. We would kindly ask you to make a request for specific requirements, if necessary.

All products are intended for research use only (RUO). Not for human, veterinary or therapeutic use.

Amount: 80 ul
Available: In stock
available

Compare

Add to wishlist

Get an offer

Request delivery time

Ask a technical question

Submit a bulk request

Questions about this Product?
 
Close