Comparison

USP21 Antibody (C-term)

Item no. ABC-AP2147a
Manufacturer Abcepta
Amount 400 ul
Category
Type Antibody Polyclonal
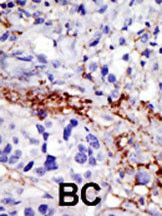
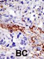
Applications WB, IHC-P
Specific against Human (Homo sapiens)
Host Rabbit
Isotype IgG
Citations Puente, X.S., et al., Nat. Rev. Genet. 4(7):544-558 (2003).
Gong, L., et al., J. Biol. Chem. 275(19):14212-14216 (2000).
Hillier, L.D., et al., Genome Res. 6(9):807-828 (1996).
Smith, T.S., et al., Biochim. Biophys. Acta 1490 (1-2), 184-188 (2000).
NCBI NP_001014443.1,NP_036607.3
ECLASS 10.1 32160702
ECLASS 11.0 32160702
UNSPSC 12352203
Alias Ubiquitin carboxyl-terminal hydrolase 21,Deubiquitinating enzyme 21,Ubiquitin thioesterase 21,Ubiquitin-specific-processing protease 21,USP21,USP23
Similar products USP21, USP23, Ubiquitin carboxyl-terminal hydrolase 21, Deubiquitinating enzyme 21, Ubiquitin thioesterase 21, Ubiquitin-specific-processing protease 21
Available
Manufacturer - Category
Primary Antibodies; Cell Biology; Catalog Updated
Manufacturer - Targets
This USP21 antibody is generated from rabbits immunized with a KLH conjugated synthetic peptide between 406-436 amino acids from the C-terminal region of human USP21.
Bio Background
USP21 is a ubiquitin-specific protease, an enzyme that removes ubiquitin from ubiquitinated proteins. The encoded protein belongs to the C19 peptidase family, also known as family 2 of ubiquitin carboxyl-terminal hydrolases. This protein has been reported to be capable of removing NEDD8 from NEDD8 conjugates.
Clonality
Polyclonal
Polyclonal Antibody Additonal Information
RB4355/4356
Gene Name
USP21 {ECO:0000303|PubMed:10799498, ECO:0000312|HGNC:HGNC:12620}
Subtitle
Purified Rabbit Polyclonal Antibody (Pab)
Reactivity
H
Predicted Reactivity
B
Calculated Molecular Weight
62656
Antigen Source
HUMAN
Antigen Region
406-436
Formulation
Purified polyclonal antibody supplied in PBS with 0.09% (W/V) sodium azide. This antibody is prepared by Saturated Ammonium Sulfate (SAS) precipitation followed by dialysis against PBS.
Dilution
WB: 1:1000
WB: 1:2000
IHC-P: 1:50~100
Antigen Type
Synthetic Peptide

Note: The presented information and documents (Manual, Product Datasheet, Safety Datasheet and Certificate of Analysis) correspond to our latest update and should serve for orientational purpose only. We do not guarantee the topicality. We would kindly ask you to make a request for specific requirements, if necessary.

All products are intended for research use only (RUO). Not for human, veterinary or therapeutic use.

Amount: 400 ul
Available: In stock
available

Compare

Add to wishlist

Get an offer

Request delivery time

Ask a technical question

Submit a bulk request

Questions about this Product?
 
Close