Comparison

CCDC160 Polyclonal Antibody

Item no. ABC-AP58883
Manufacturer Abcepta
Amount 100 ul
Category
Type Antibody Primary
Applications IF, IHC-P, IHC-F
Specific against other
Host Rabbit
ECLASS 10.1 32160702
ECLASS 11.0 32160702
UNSPSC 12352203
Similar products CCDC160, Coiled-coil domain-containing protein 160
Available
Primary Accession
A6NGH7
Application
IHC-P, IHC-F, IF
Clonality
Polyclonal
Gene ID
347475
Gene Name
CCDC160
Subtitle
Purified Rabbit Polyclonal Antibody (Pab)
Reactivity
Rat, Cow
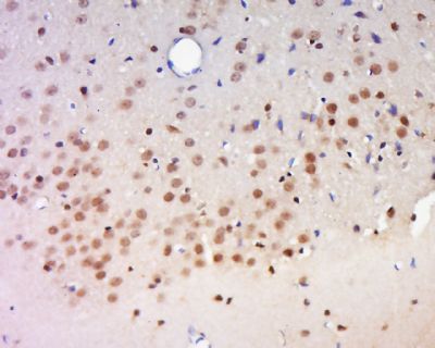
Legend image 1
Tissue/cell: Rat brain tissue; 4% Paraformaldehyde-fixed and paraffin-embedded;
Antigen retrieval: citrate buffer ( 0.01M, pH 6.0 ), Boiling bathing for 15min; Block endogenous peroxidase by 3% Hydrogen peroxide for 30min; Blocking buffer (normal goat serum, C-0005) at 37℃ for 20 min;
Incubation: Anti-FAM113A Polyclonal Antibody, Unconjugated(bs-8123R) 1:500, overnight at 4°C, followed by conjugation to the secondary antibody(SP-0023) and DAB(C-0010) staining
Type image 1
IHC-P
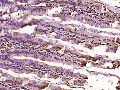
Legend image 2
Paraformaldehyde-fixed, paraffin embedded (Mouse small intestine); Antigen retrieval by boiling in sodium citrate buffer (pH6.0) for 15min; Block endogenous peroxidase by 3% hydrogen peroxide for 20 minutes; Blocking buffer (normal goat serum) at 37°C for 30min; Antibody incubation with (CCDC160) Polyclonal Antibody, Unconjugated (bs-8123R) at 1:400 overnight at 4°C, followed by operating according to SP Kit(Rabbit) (sp-0023) instructionsand DAB staining.
Type image 2
IHC-P

Note: The presented information and documents (Manual, Product Datasheet, Safety Datasheet and Certificate of Analysis) correspond to our latest update and should serve for orientational purpose only. We do not guarantee the topicality. We would kindly ask you to make a request for specific requirements, if necessary.

All products are intended for research use only (RUO). Not for human, veterinary or therapeutic use.

Amount: 100 ul
Available: In stock
available

Compare

Add to wishlist

Get an offer

Request delivery time

Ask a technical question

Submit a bulk request

Questions about this Product?
 
Close