Comparison

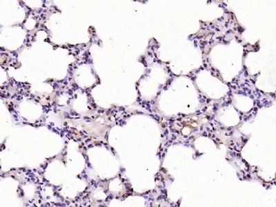
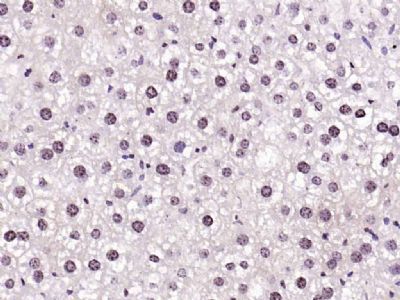
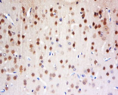
FAM13C1 Polyclonal Antibody

Item no. ABC-AP58919
Manufacturer Abcepta
Amount 100 ul
Category
Type Antibody Primary
Applications WB, IF, IHC-P, IHC-F
Specific against other
Host Rabbit
ECLASS 10.1 32160702
ECLASS 11.0 32160702
UNSPSC 12352203
Similar products FAM13C1, FAM13C, Protein FAM13C
Available
Clonality
Polyclonal
Gene Name
FAM13C
Subtitle
Purified Rabbit Polyclonal Antibody (Pab)
Reactivity
Rat, Pig

Note: The presented information and documents (Manual, Product Datasheet, Safety Datasheet and Certificate of Analysis) correspond to our latest update and should serve for orientational purpose only. We do not guarantee the topicality. We would kindly ask you to make a request for specific requirements, if necessary.

All products are intended for research use only (RUO). Not for human, veterinary or therapeutic use.

Amount: 100 ul
Available: In stock
available

Delivery expected until 11/6/2025 

Compare

Add to wishlist

Get an offer

Request delivery time

Ask a technical question

Submit a bulk request

Questions about this Product?
 
Close