Comparison

ADRB2 Antibody (S364)

Item no. ABC-AP7263E-ev
Manufacturer Abcepta
Amount 80 ul
Category
Type Antibody Polyclonal
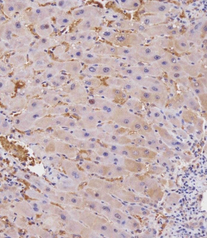
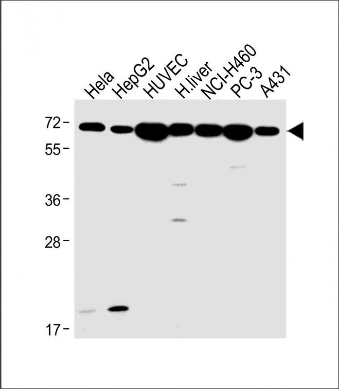
Applications WB, FC, IHC-P
Specific against Human (Homo sapiens)
Host Rabbit
Isotype IgG
Citations Kobilka B.K., Dixon R.A.F.Proc. Natl. Acad. Sci. U.S.A. 84:46-50(1987)
Emorine L.J., Marullo S.Proc. Natl. Acad. Sci. U.S.A. 84:6995-6999(1987)
Kobilka B.K., Frielle T.J. Biol. Chem. 262:7321-7327(1987)
NCBI NP_000015.1
ECLASS 10.1 32160702
ECLASS 11.0 32160702
UNSPSC 12352203
Alias Beta-2 adrenergic receptor,Beta-2 adrenoreceptor,Beta-2 adrenoceptor,ADRB2,ADRB2R,B2AR
Similar products ADRB2, ADRB2R, B2AR, Beta-2 adrenergic receptor, Beta-2 adrenoreceptor, Beta-2 adrenoceptor
Available
Manufacturer - Category
Crown Antibodies; Primary Antibodies; Antibody Collections; Cardiovascular; Signal Transduction; GPCR Antibodies; Druggable G protein-coupled receptors (GPCRs)
Manufacturer - Targets
This ADRB2 antibody is generated from rabbits immunized with a KLH conjugated synthetic peptide between 345-373 amino acids from human ADRB2.
Bio Background
ADRB2, beta-2-adrenergic receptor which is a member of the G protein-coupled receptor superfamily. This receptor is directly associated with one of its ultimate effectors, the class C L-type calcium channel Ca(V)1.2. This receptor-channel complex also contains a G protein, an adenylyl cyclase, cAMP-dependent kinase, and the counterbalancing phosphatase, PP2A. The assembly of the signaling complex provides a mechanism that ensures specific and rapid signaling by this G protein-coupled receptor. This protein is intronless.
Clonality
Polyclonal
Polyclonal Antibody Additonal Information
RB16260
Gene Name
ADRB2
Subtitle
Affinity Purified Rabbit Polyclonal Antibody (Pab)
Reactivity
H
Calculated Molecular Weight
46459
Antigen Source
HUMAN
Antigen Region
345-373
Formulation
Purified polyclonal antibody supplied in PBS with 0.09% (W/V) sodium azide. This antibody is purified through a protein A column, followed by peptide affinity purification.
Dilution
WB: 1:1000
IHC-P: 1:100
FC: 1:25
Antigen Type
Synthetic Peptide

Note: The presented information and documents (Manual, Product Datasheet, Safety Datasheet and Certificate of Analysis) correspond to our latest update and should serve for orientational purpose only. We do not guarantee the topicality. We would kindly ask you to make a request for specific requirements, if necessary.

All products are intended for research use only (RUO). Not for human, veterinary or therapeutic use.

Amount: 80 ul
Available: In stock
available

Compare

Add to wishlist

Get an offer

Request delivery time

Ask a technical question

Submit a bulk request

Questions about this Product?
 
Close