Comparison

Eotaxin-3 Polyclonal Antibody

Item no. ABC-AP73333
Manufacturer Abcepta
Amount 100 ul
Category
Type Antibody Primary
Applications WB, IHC-P
Specific against other
Host Rabbit
ECLASS 10.1 32160702
ECLASS 11.0 32160702
UNSPSC 12352203
Similar products CCL26; SCYA26; C-C motif chemokine 26; CC chemokine IMAC; Eotaxin-3; Macrophage inflammatory protein 4-alpha; MIP-4-alpha; Small-inducible cytokine A26; Thymic stroma chemokine-1; TSC-1
Available
Primary Accession
Q9Y258
Antigen Type
synthetic peptide
Application
WB, IHC-P
Bio Background
Chemoattractant for eosinophils and basophils (PubMed:10415065, PubMed:10488147). Acts as a ligand for C-C chemokine receptor CCR3 which triggers Ca(2+) mobilization in eosinophils (PubMed:10415065, PubMed:10488147, PubMed:11425309).
Clonality
Polyclonal
Gene ID
10344
Gene Name
CCL26 (HGNC:10625)
Reactivity
H
Type image 1
WB
Dilution image 1
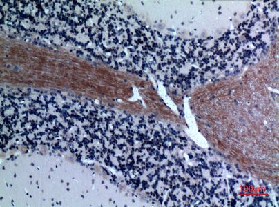
Western Blot: 1/500 - 1/2000. IHC-p: 1:100-300 ELISA: 1/20000. Not yet tested in other applications.
Dilution image 2
Western Blot: 1/500 - 1/2000. IHC-p: 1:100-300 ELISA: 1/20000. Not yet tested in other applications.
Dilution image 3
Western Blot: 1/500 - 1/2000. IHC-p: 1:100-300 ELISA: 1/20000. Not yet tested in other applications.
Dilution image 4
Western Blot: 1/500 - 1/2000. IHC-p: 1:100-300 ELISA: 1/20000. Not yet tested in other applications.
Dilution image 5
Western Blot: 1/500 - 1/2000. IHC-p: 1:100-300 ELISA: 1/20000. Not yet tested in other applications.
Dilution image 6
Western Blot: 1/500 - 1/2000. IHC-p: 1:100-300 ELISA: 1/20000. Not yet tested in other applications.

Note: The presented information and documents (Manual, Product Datasheet, Safety Datasheet and Certificate of Analysis) correspond to our latest update and should serve for orientational purpose only. We do not guarantee the topicality. We would kindly ask you to make a request for specific requirements, if necessary.

All products are intended for research use only (RUO). Not for human, veterinary or therapeutic use.

Amount: 100 ul
Available: In stock
available

Compare

Add to wishlist

Get an offer

Request delivery time

Ask a technical question

Submit a bulk request

Questions about this Product?
 
Close