Comparison

ACE2 Antibody

Item no. ABC-ASC10216
Manufacturer Abcepta
Amount 100 ug
Category
Type Antibody Primary
Applications WB, IF, ELISA, IHC-P
Specific against Human (Homo sapiens), Mouse (Murine, Mus musculus)
Host Rabbit
Isotype IgG
Citations Donoghue M, Hsieh F, Baronas E, et al. A novel angiotensin-converting enzyme-related carboxypeptidase (ACE2) converts angiotension I to angiotension 1-9. Circ. Res. 2000;87:1-9.
Tipnis SR, Hooper NM, Hyde R, et al. A human homolog of angiotensin-converting enzyme. Cloning and functional expression as a captopril-insensitive carboxypeptidase. J Biol. Chem. 2000;275:33238-43.
Li W, Moore MJ, Vasileva N, et al. Angiotensin-converting enzyme 2 is a functional receptor for the SARS coronavirus. Nature 2003;426:450-4.
Crackower MA, Sarao R, Oudit GY, et al. Angiotensin-converting enzyme 2 is an essential regulator of heart function. Nature 2002;417:822-8.
ECLASS 10.1 32160702
ECLASS 11.0 32160702
UNSPSC 12352203
Alias ACE2 Antibody: ACEH,Angiotensin-converting enzyme 2,ACE-related carboxypeptidase,ACEH,angiotensin I converting enzyme (peptidyl-dipeptidase A) 2
Similar products Angiotensin-converting enzyme 2, ACE-related carboxypeptidase, ACEH, ACE2 Antibody: ACEH, angiotensin I converting enzyme (peptidyl-dipeptidase A) 2
Available
Manufacturer - Category
Primary Antibodies; Cardiovascular; Cell Biology; ACE2 receptors; Host cell receptor for virus entry; Viral entry into host cell; Host-virus interaction; SARS-Human interactions; SARS-Human interaction partners
Manufacturer - Targets
ACE2; Anti-ACE2 has no cross response to ACE1.
Storage Conditions
ACE2 antibody can be stored at 4? for three months and -20?, stable for up to one year. As with all antibodies care should be taken to avoid repeated freeze thaw cycles. Antibodies should not be exposed to prolonged high temperatures.
Bio Background
ACE2 Antibody: Angiotensin-converting enzyme 2 (ACE2) plays a central role in vascular, renal, and myocardial physiology. In contrast to its homolog ACE, ACE2 expression is restricted to heart, kidney, and testis. Recently. ACE2 has also been shown to be a functional receptor of the SARS coronavirus. The normal function of ACE2 is to convert the inactive vasoconstrictor angiotensin I (AngI) to Ang1-9 and the active form AngII to Ang1-7, unlike ACE, which converts AngI to AngII. While the role of these vasoactive peptides is not well understood, lack of ACE2 expression in ace2-/ace2- mice leads to severely reduced cardiac contractility, indicating its importance in regulating heart function.
Clonality
Polyclonal
Gene Name
ACE2
Reactivity
H, M
Calculated Molecular Weight
92463
Antigen Source
Homo sapiens
Purification
ACE2 Antibody is affinity chromatography purified via peptide column.
Antibody Form
Liquid
Application Notes
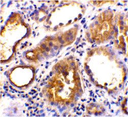
ACE2 antibody can be used for the detection of ACE2 by Western blot at 0.5 to 2 µg/mL. A 90 kDa band can be detected. Antibody can also be used for immunohistochemistry starting at 2 µg/mL. For immunofluorescence start at 20 µg/mL.
Positive Control
Human Kidney Tissue Lysate; Human Testis Tissue Lysate
Buffer
ACE2 Antibody is supplied in PBS containing 0.02% sodium azide.

Note: The presented information and documents (Manual, Product Datasheet, Safety Datasheet and Certificate of Analysis) correspond to our latest update and should serve for orientational purpose only. We do not guarantee the topicality. We would kindly ask you to make a request for specific requirements, if necessary.

All products are intended for research use only (RUO). Not for human, veterinary or therapeutic use.

Amount: 100 ug
Available: In stock
available

Compare

Add to wishlist

Get an offer

Request delivery time

Ask a technical question

Submit a bulk request

Questions about this Product?
 
Close