Comparison

Adiponectin Antibody

Item no. ABC-ASC10331
Manufacturer Abcepta
Amount 100 ug
Category
Type Antibody Primary
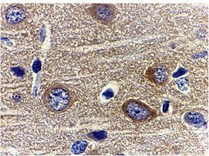
Applications WB, ELISA, IHC-P
Specific against Human (Homo sapiens), Mouse (Murine, Mus musculus), Rat (Rattus norvegicus)
Host Rabbit
Isotype IgG
Citations Fantuzzi G. Adipose tissue, adipokines, and inflammation. J. Allergy Clin. Immunol. 2005; 115:911-9.
Tsao T-S, Lodish HF, and Fruebis J. ACRP30, a new hormone controlling fat and glucose metabolism. Euro. J. Pharmacol. 2002; 440:213-21.
Wong GW, Wang J, Hug C, et al. A family of Acrp30/ adiponectin structural and functional paralogs. Proc. Natl. Acad. Sci. USA 2004; 101:10302-7.
Shapiro L and Scherer PE. The crystal structure of a complement-1q family protein suggests an evolutionary link to tumor necrosis factor. Curr. Biol. 1998; 8:335-8.
ECLASS 10.1 32160702
ECLASS 11.0 32160702
UNSPSC 12352203
Alias Adiponectin Antibody: ACDC,ADPN,APM1,APM-1,GBP28,ACRP30,ADIPQTL1,ACDC,Adiponectin,30 kDa adipocyte complement-related protein,adiponectin,C1Q and collagen domain containing
Similar products Adiponectin, ACDC, ADPN, ACRP30, APM1, GBP28, 30 kDa adipocyte complement-related protein, ADIPQTL1, APM-1, adiponectin, C1Q and collagen domain containing, Adiponectin Antibody: ACDC
Available
Manufacturer - Category
Primary Antibodies; Cancer; Cardiovascular; Cell Biology; Metabolism; Neuroscience; Signal Transduction; Stem Cells; SARS-Human interaction partners
Manufacturer - Targets
ADIPOQ;
Storage Conditions
Adiponectin antibody can be stored at 4? for three months and -20?, stable for up to one year. As with all antibodies care should be taken to avoid repeated freeze thaw cycles. Antibodies should not be exposed to prolonged high temperatures.
Bio Background
Adiponectin Antibody: Adipose tissue of an organism plays a major role in regulating physiologic and pathologic processes such as metabolism and immunity by producing and secreting a variety of bioactive molecules termed adipokines. One highly conserved family of adipokines is adiponectin/ACRP30 and its structural and functional paralogs, the C1q/tumor necrosis factor-alpha-related proteins (CTRPs) 1-7. Unlike the CTRPs, which are expressed in a wide variety of tissues, adiponectin is reported to be expressed exclusively by differentiated adipocytes. These proteins are thought to act mainly on liver and muscle tissue to control glucose and lipid metabolism. An analysis of the crystal structure of adiponectin revealed a structural and evolutionary link between TNF and C1q-containing proteins, suggesting that these proteins arose from a common ancestral innate immunity gene. It is present in high levels in normal human plasma, but is reduced in obese subjects and often in those with increased insulin resistance and type 2 diabetes, suggesting that adiponectin may be a useful pharmacological target in various metabolic diseases.
Clonality
Polyclonal
Gene Name
ADIPOQ
Reactivity
H, M, Rat
Calculated Molecular Weight
26414
Antigen Source
Homo sapiens
Purification
Adiponectin Antibody is affinity chromatography purified via peptide column.
Antibody Form
Liquid
Application Notes
Adiponectin antibody can be used for the detection of adiponectin by Western blot at 1 to 4 µg/mL. Antibody can also be used for immunohistochemistry starting at 1 µg/mL.
Positive Control
Rat Brain Tissue Lysate
Buffer
Adiponectin Antibody is supplied in PBS containing 0.02% sodium azide.

Note: The presented information and documents (Manual, Product Datasheet, Safety Datasheet and Certificate of Analysis) correspond to our latest update and should serve for orientational purpose only. We do not guarantee the topicality. We would kindly ask you to make a request for specific requirements, if necessary.

All products are intended for research use only (RUO). Not for human, veterinary or therapeutic use.

Amount: 100 ug
Available: In stock
available

Compare

Add to wishlist

Get an offer

Request delivery time

Ask a technical question

Submit a bulk request

Questions about this Product?
 
Close