Comparison

CTRP2 Antibody

Item no. ABC-ASC10334
Manufacturer Abcepta
Amount 100 ug
Category
Type Antibody Primary
Applications WB, ELISA, IHC-P
Specific against Human (Homo sapiens), Mouse (Murine, Mus musculus)
Host Rabbit
Isotype IgG
Citations Fantuzzi G. Adipose tissue, adipokines, and inflammation. J. Allergy Clin. Immunol. 2005; 115:911-9.
Tsao T-S, Lodish HF, and Fruebis J. ACRP30, a new hormone controlling fat and glucose metabolism. Euro. J. Pharmacol. 2002; 440:213-21.
Wong GW, Wang J, Hug C, et al. A family of Acrp30/ adiponectin structural and functional paralogs. Proc. Natl. Acad. Sci. USA 2004; 101:10302-7.
Shapiro L and Scherer PE. The crystal structure of a complement-1q family protein suggests an evolutionary link to tumor necrosis factor. Curr. Biol. 1998; 8:335-8.
ECLASS 10.1 32160702
ECLASS 11.0 32160702
UNSPSC 12352203
Alias CTRP2 Antibody: CTRP2,zacrp2,CTRP2,UNQ6349/PRO21054,Complement C1q tumor necrosis factor-related protein 2,C1q and tumor necrosis factor related protein 2
Similar products CTRP2, Complement C1q tumor necrosis factor-related protein 2, zacrp2, C1q and tumor necrosis factor related protein 2, CTRP2 Antibody: CTRP2, UNQ6349/PRO21054
Available
Manufacturer - Applications
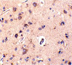
CTRP2 polyclonal antibody can be used for the detection of CTRP2 by Western blot at 1 - 4 µg/mL. Antibody can also be used for immunohistochemistry starting at 10 µg/mL.
Manufacturer - Category
Primary Antibodies; Signal Transduction
Manufacturer - Targets
C1QTNF2; These proteins are often highly modified post-translationally and migrate in SDS-PAGE at positions other than their predicted size.
Storage Conditions
CTRP2 antibody can be stored at 4? for three months and -20?, stable for up to one year. As with all antibodies care should be taken to avoid repeated freeze thaw cycles. Antibodies should not be exposed to prolonged high temperatures.
Bio Background
CTRP2 Antibody: Adipose tissue of an organism plays a major role in regulating physiologic and pathologic processes such as metabolism and immunity by producing and secreting a variety of bioactive molecules termed adipokines. One highly conserved family of adipokines is adiponectin/ACRP30 and its structural and functional paralogs, the C1q/tumor necrosis factor-alpha-related proteins (CTRPs) 1-7. Unlike adiponectin, which is expressed exclusively by differentiated adipocytes, the CTRPs are expressed in a wide variety of tissues. These proteins are thought to act mainly on liver and muscle tissue to control glucose and lipid metabolism. An analysis of the crystal structure of adiponectin revealed a structural and evolutionary link between TNF and C1q-containing proteins, suggesting that these proteins arose from a common ancestral innate immunity gene. Of the CTRPs, CTRP2 is most similar structurally and functionally to adiponectin. Recombinant CTRP2 rapidly activated AMPK and MAPK in cultured C2C12 cells, leading to increased glycogen accumulation and fatty acid oxidation.
Clonality
Polyclonal
Gene Name
C1QTNF2
Reactivity
H, M
Calculated Molecular Weight
29952
Antigen Source
Homo sapiens
Purification
CTRP2 Antibody is affinity chromatography purified via peptide column.
Antibody Form
Liquid
Application Notes
CTRP2 polyclonal antibody can be used for the detection of CTRP2 by Western blot at 1 - 4 µg/mL. Antibody can also be used for immunohistochemistry starting at 10 µg/mL.
Positive Control
3T3 Cell Lysate; Human Brain Tissue Lysate
Buffer
CTRP2 Antibody is supplied in PBS containing 0.02% sodium azide.

Note: The presented information and documents (Manual, Product Datasheet, Safety Datasheet and Certificate of Analysis) correspond to our latest update and should serve for orientational purpose only. We do not guarantee the topicality. We would kindly ask you to make a request for specific requirements, if necessary.

All products are intended for research use only (RUO). Not for human, veterinary or therapeutic use.

Amount: 100 ug
Available: In stock
available

Compare

Add to wishlist

Get an offer

Request delivery time

Ask a technical question

Submit a bulk request

Questions about this Product?
 
Close