Comparison

DCLK1 Antibody

Item no. ABC-ASC11079
Manufacturer Abcepta
Amount 100 ug
Category
Type Antibody Primary
Applications WB, IF, ELISA, IHC-P
Specific against Human (Homo sapiens), Mouse (Murine, Mus musculus), Rat (Rattus norvegicus)
Host Rabbit
Isotype IgG
Citations Sossey-Alaoui K and Srivastava AK. DCAMKL1, a brain specific transmembrane protein on 13q12.3 that is similar to doublecortin (DCX), Genomics1999; 56:121-6.
Ohmae S, Takemoto-Kimura S, Okamura M, et al. Molecular identification and characterization of a family of kinases with homology to Ca2+/calmodulin-dependent protein kinases I/IV. J. Biol. Chem.2006; 281:20427-39.
Tuy FPD, Saillour Y, Kappeler C, et al. Alternative transcripts of Dlck1 and Dlck2 and their expression in doublecortin knockout mice. Dev. Neurosci.2008; 30:171-86.
Reiner O and Coquelle FM. Missense mutations resulting in type 1 lissencephaly. Cell Mol. Life Sci.2005; 62:425-34.
ECLASS 10.1 32160702
ECLASS 11.0 32160702
UNSPSC 12352203
Available
Manufacturer - Category
Primary Antibodies; Neuroscience; Signal Transduction
Manufacturer - Targets
DCLK1 antibody was raised against a 14 amino acid synthetic peptide near the amino terminus of human DCLK1.
The immunogen is located within the last 50 amino acids of DCLK1.
Storage Conditions
DCLK1 antibody can be stored at 4? for three months and -20?, stable for up to one year. As with all antibodies care should be taken to avoid repeated freeze thaw cycles. Antibodies should not be exposed to prolonged high temperatures.
Bio Background
DCLK1 Antibody: DCLK1 is one of three doublecortin-like kinases similar to the Ca2+/calmodulin-dependent protein kinase (CaMK) family. DCLK1 mRNA, like that of the homologous DCLK2 and DCLK3, is highly expressed in adult brain, but only DCLK1 and DCLK2 transcripts are present in human fetal brain and the developing mouse embryo, suggesting that DCLK1 and DCLK2 may play roles in cortical development. The DCLK proteins are homologous to Doublecortin (DCX), a gene that is mutated in X-linked human lissencephaly. In mouse models where the DCX gene has been disrupted, DCLK1 expression increases slightly and appears to compensate for the loss of DCX, as mice mutant for both DCX and DCLK1 show a severe phenotype including perinatal lethality, disorganized neocortical layering, and profound hippocampal cytoarchitectural disorganization. Unlike DCLK1, DCLK2 expression does not change in DCX-null mice.
Clonality
Polyclonal
Gene Name
DCLK1
Reactivity
H, M, Rat
Calculated Molecular Weight
82224
Antigen Source
Homo sapiens
Purification
DCLK1 Antibody is affinity chromatography purified via peptide column.
Antibody Form
Liquid
Application Notes
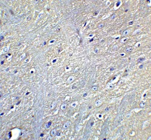
DCLK1 antibody can be used for detection of DCLK1 by Western blot at 0.5 - 1 μ g/mL. Antibody can also be used for immunohistochemistry starting at 2.5 μ g/mL. For immunofluorescence start at 20 μ g/mL.
Positive Control
Human Brain Tissue Lysate
Buffer
DCLK1 Antibody is supplied in PBS containing 0.02% sodium azide.

Note: The presented information and documents (Manual, Product Datasheet, Safety Datasheet and Certificate of Analysis) correspond to our latest update and should serve for orientational purpose only. We do not guarantee the topicality. We would kindly ask you to make a request for specific requirements, if necessary.

All products are intended for research use only (RUO). Not for human, veterinary or therapeutic use.

Amount: 100 ug
Available: In stock
available

Compare

Add to wishlist

Get an offer

Request delivery time

Ask a technical question

Submit a bulk request

Questions about this Product?
 
Close