Comparison

BCL10 Antibody

Item no. ABC-AW5069-U100
Manufacturer Abcepta
Amount 100 ul
Category
Type Antibody Primary
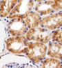
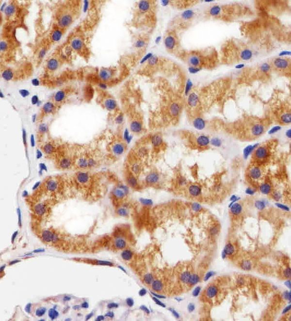
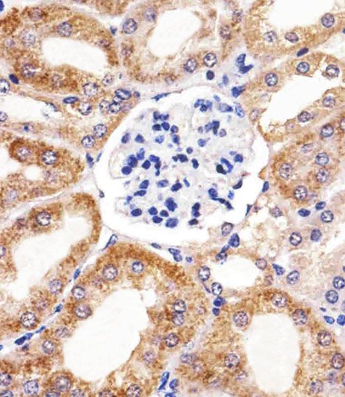
Applications WB, FC, IHC-P
Specific against Human (Homo sapiens)
Host Mouse
Isotype IgG1 Kappa
Citations Willis T.G.,et al.Cell 96:35-45(1999).
Koseki T.,et al.J. Biol. Chem. 274:9955-9961(1999).
Thome M.,et al.J. Biol. Chem. 274:9962-9968(1999).
Yan M.,et al.J. Biol. Chem. 274:10287-10292(1999).
Srinivasula S.M.,et al.J. Biol. Chem. 274:17946-17954(1999).
ECLASS 10.1 32160702
ECLASS 11.0 32160702
UNSPSC 12352203
Similar products Bcl-10, CIPER, c-E10, cCARMEN, Cellular homolog of vCARMEN, hCLAP, CARD-containing molecule enhancing NF-kappa-B, B-cell lymphoma/leukemia 10, CARD-like apoptotic protein, B-cell CLL/lymphoma 10, CED-3/ICH-1 prodomain homologous E10-like regulator, Cellular-E10, Mammalian CARD-containing adapter mol
Available
Manufacturer - Category
Primary Antibodies; Immunity; B cell receptor signaling; Immune system process; T cell receptor signaling
Manufacturer - Targets
This BCL10 antibody is generated from a mouse immunized with a KLH conjugated synthetic peptide between 1-143 amino acids from the human region of human BCL10.
Bio Background
Promotes apoptosis, pro-caspase-9 maturation and activation of NF-kappa-B via NIK and IKK. May be an adapter protein between upstream TNFR1-TRADD-RIP complex and the downstream NIK-IKK-IKAP complex. Is a substrate for MALT1.
Clonality
Monoclonal
Gene Name
BCL10 {ECO:0000303|PubMed:9989495, ECO:0000312|HGNC:HGNC:989}
Subtitle
Purified Mouse Monoclonal Antibody (Mab)
Reactivity
H
Calculated Molecular Weight
26252
Antigen Source
HUMAN
Antigen Region
1-143
Formulation
Purified monoclonal antibody supplied in PBS with 0.09% (W/V) sodium azide. This antibody is purified through a protein G column, followed by dialysis against PBS.
Dilution
WB: 1:1000
IHC-P: 1:25
IHC-P: 1:25
FC: 1:25
Antigen Type
Recombinant Protein
Manufacturer - Alias
B-cell lymphoma/leukemia 10, B-cell CLL/lymphoma 10, Bcl-10, CARD-containing molecule enhancing NF-kappa-B, CARD-like apoptotic protein, hCLAP, CED-3/ICH-1 prodomain homologous E10-like regulator, CIPER, Cellular homolog of vCARMEN, cCARMEN, Cellular-E10, c-E10, Mammalian CARD-containing adapter mol
Manufacturer - Similar
B-cell lymphoma/leukemia 10, B-cell CLL/lymphoma 10, Bcl-10, CARD-containing molecule enhancing NF-kappa-B, CARD-like apoptotic protein, hCLAP, CED-3/ICH-1 prodomain homologous E10-like regulator, CIPER, Cellular homolog of vCARMEN, cCARMEN, Cellular-E10, c-E10, Mammalian CARD-containing adapter mol

Note: The presented information and documents (Manual, Product Datasheet, Safety Datasheet and Certificate of Analysis) correspond to our latest update and should serve for orientational purpose only. We do not guarantee the topicality. We would kindly ask you to make a request for specific requirements, if necessary.

All products are intended for research use only (RUO). Not for human, veterinary or therapeutic use.

Amount: 100 ul
Available: In stock
available

Compare

Add to wishlist

Get an offer

Request delivery time

Ask a technical question

Submit a bulk request

Questions about this Product?
 
Close