Comparison

EGFR Antibody (Y1092)

Item no. ABC-AW5174-U100
Manufacturer Abcepta
Amount 100 ul
Category
Type Antibody Primary
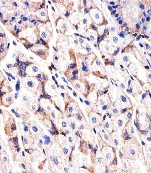
Applications WB, IHC-P
Specific against Human (Homo sapiens)
Host Rabbit
Isotype IgG
Citations Zanardi, T.A., et al., J. Virol. 77(21):11685-11696 (2003).
Krug, A.W., et al., J. Biol. Chem. 278(44):43060-43066 (2003).
Huang, F., et al., J. Biol. Chem. 278(44):43411-43417 (2003).
He, Y.Y., et al., J. Biol. Chem. 278(43):42457-42465 (2003).
Hirsch, F.R., et al., J. Clin. Oncol. 21(20):3798-3807 (2003).
NCBI NP_005219.2,NP_958439.1,NP_958440.1,NP_958441.1
ECLASS 10.1 32160702
ECLASS 11.0 32160702
UNSPSC 12352203
Alias EGFR,ERBB,ERBB1,HER1,Epidermal growth factor receptor,Proto-oncogene c-ErbB-1,Receptor tyrosine-protein kinase erbB-1
Similar products EGFR, ERBB, ERBB1, HER1, Epidermal growth factor receptor, Proto-oncogene c-ErbB-1, Receptor tyrosine-protein kinase erbB-1
Available
Manufacturer - Category
Primary Antibodies; Anti-Kinome Antibodies
Manufacturer - Targets
This EGFR antibody is generated from rabbits immunized with a KLH conjugated synthetic peptide between 1070-1099 amino acids from human EGFR.
Bio Background
The epidermal growth factor receptor is the cell-surface receptor for members of the epidermal growth factor family (EGF-family) of extracellular protein ligands. The epidermal growth factor receptor is a member of the ErbB family of receptors, a subfamily of four closely related receptor tyrosine kinases: EGFR (ErbB-1), HER2/c-neu (ErbB-2), Her 3 (ErbB-3) and Her 4 (ErbB-4). Mutations affecting EGFR expression or activity could result in cancer.
Clonality
Polyclonal
Gene Name
EGFR
Subtitle
Affinity Purified Rabbit Polyclonal Antibody (Pab)
Reactivity
H
Predicted Reactivity
M, Rat
Calculated Molecular Weight
134277
Antigen Source
HUMAN
Antigen Region
1070-1099
Formulation
Purified polyclonal antibody supplied in PBS with 0.09% (W/V) sodium azide. This antibody is purified through a protein A column, followed by peptide affinity purification.
Dilution
WB: 1:1000
WB: 1:1000
IHC-P: 1:25
Antigen Type
Synthetic Peptide

Note: The presented information and documents (Manual, Product Datasheet, Safety Datasheet and Certificate of Analysis) correspond to our latest update and should serve for orientational purpose only. We do not guarantee the topicality. We would kindly ask you to make a request for specific requirements, if necessary.

All products are intended for research use only (RUO). Not for human, veterinary or therapeutic use.

Amount: 100 ul
Available: In stock
available

Compare

Add to wishlist

Get an offer

Request delivery time

Ask a technical question

Submit a bulk request

Questions about this Product?
 
Close