Comparison

PAK1 Antibody (Center)

Item no. ABC-AW5344-U100
Manufacturer Abcepta
Amount 100 ul
Category
Type Antibody Primary
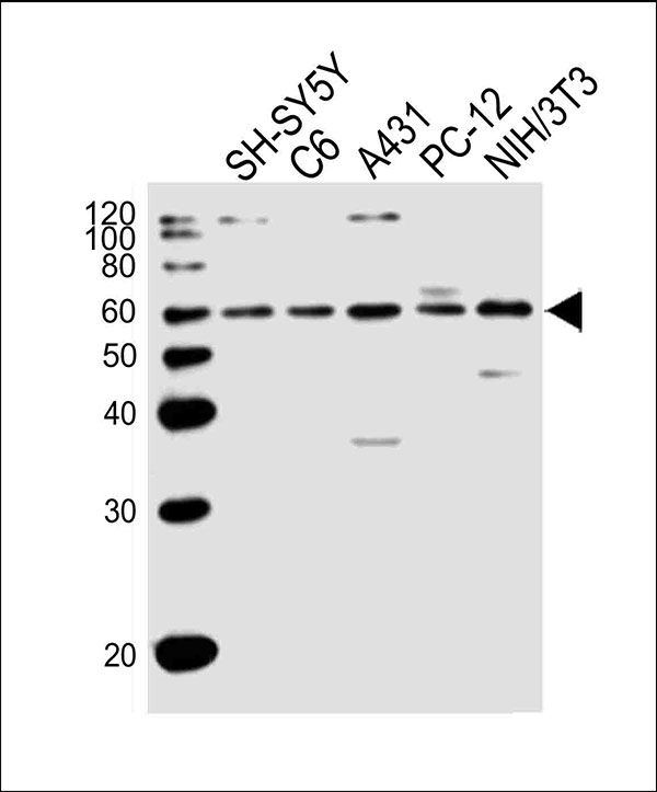
Applications WB
Specific against Human (Homo sapiens), Mouse (Murine, Mus musculus), Rat (Rattus norvegicus)
Host Rabbit
Isotype IgG
Citations Brown J.L.,et al.Curr. Biol. 6:598-605(1996).
Sells M.A.,et al.Curr. Biol. 7:202-210(1997).
Reid T.,et al.Submitted (JUN-1998) to the EMBL/GenBank/DDBJ databases.
Taylor T.D.,et al.Nature 440:497-500(2006).
Manser E.,et al.Mol. Cell. Biol. 17:1129-1143(1997).
ECLASS 10.1 32160702
ECLASS 11.0 32160702
UNSPSC 12352203
Alias Serine/threonine-protein kinase PAK 1,Alpha-PAK,p21-activated kinase 1,PAK-1,p65-PAK,PAK1
Similar products PAK-1, PAK1, Serine/threonine-protein kinase PAK 1, Alpha-PAK, p21-activated kinase 1, p65-PAK
Available
Manufacturer - Category
Primary Antibodies; Fc gamma R-mediated phagocytosis; T cell activation; T cell receptor signaling; Chemokine signaling; Inflammation mediated by chemokine and cytokine signaling
Manufacturer - Targets
This PAK1 antibody is generated from a rabbit immunized with a KLH conjugated synthetic peptide between 241-275 amino acids from the Central region of human PAK1.
Bio Background
Protein kinase involved in intracellular signaling pathways downstream of integrins and receptor-type kinases that plays an important role in cytoskeleton dynamics, in cell adhesion, migration, proliferation, apoptosis, mitosis, and in vesicle-mediated transport processes. Can directly phosphorylate BAD and protects cells against apoptosis. Activated by interaction with CDC42 and RAC1. Functions as GTPase effector that links the Rho-related GTPases CDC42 and RAC1 to the JNK MAP kinase pathway. Phosphorylates and activates MAP2K1, and thereby mediates activation of downstream MAP kinases. Involved in the reorganization of the actin cytoskeleton, actin stress fibers and of focal adhesion complexes. Phosphorylates the tubulin chaperone TBCB and thereby plays a role in the regulation of microtubule biogenesis and organization of the tubulin cytoskeleton. Plays a role in the regulation of insulin secretion in response to elevated glucose levels. Part of a ternary complex that contains PAK1, DVL1 and MUSK that is important for MUSK-dependent regulation of AChR clustering during the formation of the neuromuscular junction (NMJ). Activity is inhibited in cells undergoing apoptosis, potentially due to binding of CDC2L1 and CDC2L2. Phosphorylates MYL9/MLC2. Phosphorylates RAF1 at ' Ser-338' and ' Ser-339' resulting in: activation of RAF1, stimulation of RAF1 translocation to mitochondria, phosphorylation of BAD by RAF1, and RAF1 binding to BCL2. Phosphorylates SNAI1 at ' Ser-246' promoting its transcriptional repressor activity by increasing its accumulation in the nucleus. In podocytes, promotes NR3C2 nuclear localization. Required for atypical chemokine receptor ACKR2- induced phosphorylation of LIMK1 and cofilin (CFL1) and for the up-regulation of ACKR2 from endosomal compartment to cell membrane, increasing its efficiency in chemokine uptake and degradation. In synapses, seems to mediate the regulation of F- actin cluster formation performed by SHANK3, maybe through CFL1 phosphorylation and inactivation.
Clonality
Polyclonal
Gene Name
PAK1 {ECO:0000303|PubMed:8805275, ECO:0000312|HGNC:HGNC:8590}
Subtitle
Purified Rabbit Polyclonal Antibody (Pab)
Reactivity
H, M, Rat
Predicted Reactivity
B, X
Calculated Molecular Weight
60647
Antigen Source
HUMAN
Antigen Region
241-275
Formulation
Purified polyclonal antibody supplied in PBS with 0.09% (W/V) sodium azide. This antibody is purified through a protein A column, followed by peptide affinity purification.
Dilution
WB: 1:1000
Antigen Type
Synthetic Peptide

Note: The presented information and documents (Manual, Product Datasheet, Safety Datasheet and Certificate of Analysis) correspond to our latest update and should serve for orientational purpose only. We do not guarantee the topicality. We would kindly ask you to make a request for specific requirements, if necessary.

All products are intended for research use only (RUO). Not for human, veterinary or therapeutic use.

Amount: 100 ul
Available: In stock
available

Compare

Add to wishlist

Get an offer

Request delivery time

Ask a technical question

Submit a bulk request

Questions about this Product?
 
Close