Comparison

ABL1 Antibody (C-term)

Item no. ABC-AW5426-U100
Manufacturer Abcepta
Amount 100 ul
Category
Type Antibody Primary
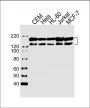
Applications WB
Specific against Human (Homo sapiens)
Host Rabbit
Isotype IgG
Citations Shtivelman E.,et al.Cell 47:277-284(1986).
Fainstein E.,et al.Oncogene 4:1477-1481(1989).
Chissoe S.L.,et al.Genomics 27:67-82(1995).
Humphray S.J.,et al.Nature 429:369-374(2004).
Mural R.J.,et al.Submitted (JUL-2005) to the EMBL/GenBank/DDBJ databases.
ECLASS 10.1 32160702
ECLASS 11.0 32160702
UNSPSC 12352203
Alias Tyrosine-protein kinase ABL1,Abelson murine leukemia viral oncogene homolog 1,Abelson tyrosine-protein kinase 1,Proto-oncogene c-Abl,p150,ABL1,ABL,JTK7
Similar products ABL1, Tyrosine-protein kinase ABL1, Abelson murine leukemia viral oncogene homolog 1, Abelson tyrosine-protein kinase 1, Proto-oncogene c-Abl, p150, ABL, JTK7
Available
Manufacturer - Category
Primary Antibodies; Anti-Kinome Antibodies; Autophagy; Mitochondrion
Manufacturer - Targets
This ABL1 antibody is generated from a rabbit immunized with a KLH conjugated synthetic peptide between 867-900 amino acids from the C-terminal region of human ABL1.
Bio Background
Non-receptor tyrosine-protein kinase that plays a role in many key processes linked to cell growth and survival such as cytoskeleton remodeling in response to extracellular stimuli, cell motility and adhesion, receptor endocytosis, autophagy, DNA damage response and apoptosis. Coordinates actin remodeling through tyrosine phosphorylation of proteins controlling cytoskeleton dynamics like WASF3 (involved in branch formation); ANXA1 (involved in membrane anchoring); DBN1, DBNL, CTTN, RAPH1 and ENAH (involved in signaling); or MAPT and PXN (microtubule-binding proteins). Phosphorylation of WASF3 is critical for the stimulation of lamellipodia formation and cell migration. Involved in the regulation of cell adhesion and motility through phosphorylation of key regulators of these processes such as BCAR1, CRK, CRKL, DOK1, EFS or NEDD9. Phosphorylates multiple receptor tyrosine kinases and more particularly promotes endocytosis of EGFR, facilitates the formation of neuromuscular synapses through MUSK, inhibits PDGFRB-mediated chemotaxis and modulates the endocytosis of activated B-cell receptor complexes. Other substrates which are involved in endocytosis regulation are the caveolin (CAV1) and RIN1. Moreover, ABL1 regulates the CBL family of ubiquitin ligases that drive receptor down-regulation and actin remodeling. Phosphorylation of CBL leads to increased EGFR stability. Involved in late-stage autophagy by regulating positively the trafficking and function of lysosomal components. ABL1 targets to mitochondria in response to oxidative stress and thereby mediates mitochondrial dysfunction and cell death. ABL1 is also translocated in the nucleus where it has DNA-binding activity and is involved in DNA-damage response and apoptosis. Many substrates are known mediators of DNA repair: DDB1, DDB2, ERCC3, ERCC6, RAD9A, RAD51, RAD52 or WRN. Activates the proapoptotic pathway when the DNA damage is too severe to be repaired. Phosphorylates TP73, a primary regulator for this type of damage- induced apoptosis. Phosphorylates the caspase CASP9 on ' Tyr-153' and regulates its processing in the apoptotic response to DNA damage. Phosphorylates PSMA7 that leads to an inhibition of proteasomal activity and cell cycle transition blocks. ABL1 acts also as a regulator of multiple pathological signaling cascades during infection. Several known tyrosine-phosphorylated microbial proteins have been identified as ABL1 substrates. This is the case of A36R of Vaccinia virus, Tir (translocated intimin receptor) of pathogenic E.coli and possibly Citrobacter, CagA (cytotoxin- associated gene A) of H.pylori, or AnkA (ankyrin repeat-containing protein A) of A.phagocytophilum. Pathogens can highjack ABL1 kinase signaling to reorganize the host actin cytoskeleton for multiple purposes, like facilitating intracellular movement and host cell exit. Finally, functions as its own regulator through autocatalytic activity as well as through phosphorylation of its inhibitor, ABI1.
Clonality
Polyclonal
Gene Name
ABL1
Subtitle
Purified Rabbit Polyclonal Antibody (Pab)
Reactivity
H
Calculated Molecular Weight
122873
Antigen Source
HUMAN
Antigen Region
867-900
Formulation
Purified polyclonal antibody supplied in PBS with 0.09% (W/V) sodium azide. This antibody is purified through a protein A column, followed by peptide affinity purification.
Dilution
WB: 1:1000
Antigen Type
Synthetic Peptide

Note: The presented information and documents (Manual, Product Datasheet, Safety Datasheet and Certificate of Analysis) correspond to our latest update and should serve for orientational purpose only. We do not guarantee the topicality. We would kindly ask you to make a request for specific requirements, if necessary.

All products are intended for research use only (RUO). Not for human, veterinary or therapeutic use.

Amount: 100 ul
Available: In stock
available

Compare

Add to wishlist

Get an offer

Request delivery time

Ask a technical question

Submit a bulk request

Questions about this Product?
 
Close