Comparison

ACHE Antibody (C-term)

Item no. ABC-AW5506-U100
Manufacturer Abcepta
Amount 100 ul
Category
Type Antibody Primary
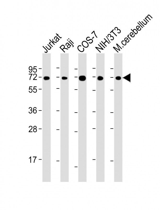
Applications WB
Specific against Human (Homo sapiens), Mouse (Murine, Mus musculus), Rat (Rattus norvegicus)
Host Mouse
Isotype IgG1
Citations Soreq H.,et al.Proc. Natl. Acad. Sci. U.S.A. 87:9688-9692(1990).
Karpel R.,et al.Exp. Cell Res. 210:268-277(1994).
Yang L.,et al.Submitted (JAN-2001) to the EMBL/GenBank/DDBJ databases.
Ota T.,et al.Nat. Genet. 36:40-45(2004).
Totoki Y.,et al.Submitted (APR-2005) to the EMBL/GenBank/DDBJ databases.
ECLASS 10.1 32160702
ECLASS 11.0 32160702
UNSPSC 12352203
Alias Acetylcholinesterase,AChE,ACHE
Similar products ACHE, Acetylcholinesterase, AChE
Available
Manufacturer - Category
Crown Antibodies; Primary Antibodies; Neuroscience
Manufacturer - Targets
This ACHE antibody is generated from a mouse immunized with a KLH conjugated synthetic peptide between 597-631 amino acids from the C-terminal region of human ACHE.
Bio Background
Terminates signal transduction at the neuromuscular junction by rapid hydrolysis of the acetylcholine released into the synaptic cleft. Role in neuronal apoptosis.
Clonality
Monoclonal
Gene Name
ACHE
Subtitle
Purified Mouse Monoclonal Antibody (Mab)
Reactivity
H, M, Rat, Ha
Calculated Molecular Weight
67796
Antigen Source
HUMAN
Antigen Region
597-631
Formulation
Purified monoclonal antibody supplied in PBS with 0.09% (W/V) sodium azide. This antibody is purified through a protein G column, followed by dialysis against PBS.
Dilution
IHC: 1:500
WB: 1:2000
WB: 1:2000
Antigen Type
Synthetic Peptide

Note: The presented information and documents (Manual, Product Datasheet, Safety Datasheet and Certificate of Analysis) correspond to our latest update and should serve for orientational purpose only. We do not guarantee the topicality. We would kindly ask you to make a request for specific requirements, if necessary.

All products are intended for research use only (RUO). Not for human, veterinary or therapeutic use.

Amount: 100 ul
Available: In stock
available

Compare

Add to wishlist

Get an offer

Request delivery time

Ask a technical question

Submit a bulk request

Questions about this Product?
 
Close