Comparison

FLNA Antibody [Knockout Validated]

Item no. ABC-AW5707-U100
Manufacturer Abcepta
Amount 100 ul
Category
Type Antibody Primary
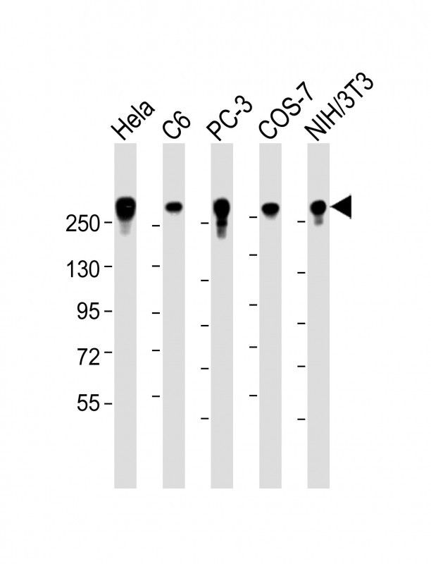
Applications WB, IF
Specific against Human (Homo sapiens), Mouse (Murine, Mus musculus), Rat (Rattus norvegicus)
Host Mouse
Isotype IgG1
Citations Gorlin J.B., et al. J. Cell Biol. 111:1089-1105(1990).
Patrosso M.C., et al. Genomics 21:71-76(1994).
Chen E.Y., et al. Hum. Mol. Genet. 5:659-668(1996).
Li J., et al. Mol. Cell. Proteomics 9:2517-2528(2010).
Ota T., et al. Nat. Genet. 36:40-45(2004).
NCBI NP_001104026.1,NP_001447.2
ECLASS 10.1 32160702
ECLASS 11.0 32160702
UNSPSC 12352203
Alias Filamin-A,FLN-A,Actin-binding protein 280,ABP-280,Alpha-filamin,Endothelial actin-binding protein,Filamin-1,Non-muscle filamin,FLNA,FLN,FLN1
Similar products FLNA, Alpha-filamin, Filamin-1, Endothelial actin-binding protein, Actin-binding protein 280, ABP-280, Non-muscle filamin, FLN, FLN1, Filamin-A, FLN-A
Available
Manufacturer - Category
Crown Antibodies; Primary Antibodies; Antibody Collections; Signal Transduction; Knockout Antibodies
Manufacturer - Targets
Purified His-tagged FLNA protein was used to produced this monoclonal antibody.
Bio Background
Promotes orthogonal branching of actin filaments and links actin filaments to membrane glycoproteins. Anchors various transmembrane proteins to the actin cytoskeleton and serves as a scaffold for a wide range of cytoplasmic signaling proteins. Interaction with FLNA may allow neuroblast migration from the ventricular zone into the cortical plate. Tethers cell surface-localized furin, modulates its rate of internalization and directs its intracellular trafficking (By similarity). Involved in ciliogenesis.
Clonality
Monoclonal
Gene Name
FLNA
Subtitle
Mouse Monoclonal Antibody (Mab)
Reactivity
H, M, Rat
Calculated Molecular Weight
280739
Antigen Source
Human
Antigen Region
1-360
Formulation
Purified monoclonal antibody supplied in PBS with 0.09% (W/V) sodium azide. This antibody is purified through a protein G column, followed by dialysis against PBS.
Dilution
IF: 1:25
WB: 1:4000
WB: 1:500-1:2000
Antigen Type
Recombinant Protein

Note: The presented information and documents (Manual, Product Datasheet, Safety Datasheet and Certificate of Analysis) correspond to our latest update and should serve for orientational purpose only. We do not guarantee the topicality. We would kindly ask you to make a request for specific requirements, if necessary.

All products are intended for research use only (RUO). Not for human, veterinary or therapeutic use.

Amount: 100 ul
Available: In stock
available

Compare

Add to wishlist

Get an offer

Request delivery time

Ask a technical question

Submit a bulk request

Questions about this Product?
 
Close