Comparison

Proliferation Marker Protein Ki-67 (MKI67) Antibody European Partner

Item no. abx016073-100
Manufacturer Abbexa
Amount 100 ul
Category
Type Antibody Primary
Format Liquid
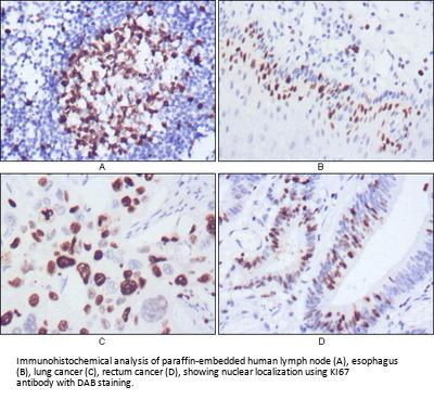
Applications IHC, ELISA
Specific against Human (Homo sapiens)
Host Mouse
Isotype IgG2b
Conjugate/Tag Unconjugated
ECLASS 10.1 32160702
ECLASS 11.0 32160702
UNSPSC 12352203
Available
Manufacturer - Category
Primary Antibodies
Manufacturer - Targets
Proliferation Marker Protein Ki-67 (MKI67)
Storage Conditions
Aliquot and store at -20°C. Avoid repeated freeze/thaw cycles.
Molecular Weight
358 kDa
Description
Ki67, also known as MKI67, it is the prototypic cell cycle related nuclear protein, expressed by proliferating cells in all phases of the active cell cycle (G1, S, G2 and M phase).It is absent in resting (G0) cells.Ki67 antibodies are useful in establishing the cell growing fraction in neoplasms (immunohistochemically quantified by determining the number of Ki67 positive cells among the total number of resting cells = Ki67 index).In neoplastic tissues the prognostic value is comparable to the tritiated thymidine labelling index.The correlation between low Ki67 index and histologically low grade tumours is strong.Ki67 is routinely used as a neuronal marker of cell cycling and proliferation.
Dry Ice
No
Buffer
Ascitic fluid containing 0.03% sodium azide.
Clonality
Monoclonal
Gene Symbol
MKI67
Note
This product is for research use only.
Purification
Unpurified ascites.
UniProt Entry Name
KI67_HUMAN
OMIM
176741

Note: The presented information and documents (Manual, Product Datasheet, Safety Datasheet and Certificate of Analysis) correspond to our latest update and should serve for orientational purpose only. We do not guarantee the topicality. We would kindly ask you to make a request for specific requirements, if necessary.

All products are intended for research use only (RUO). Not for human, veterinary or therapeutic use.

Amount: 100 ul
Available: In stock
available

Compare

Add to wishlist

Get an offer

Request delivery time

Ask a technical question

Submit a bulk request

Questions about this Product?
 
Close