Comparison

CD15 / FUT4 / Lewis x(MMA (Leu-M1)), 1mg/mL

Item no. B-BNUM0277-50
Manufacturer Biotium
Amount 50 uL
Category
Type Antibody Monoclonal
Format Liquid
Applications FC, IF, IHC
Clone Leu-M1
Specific against Human (Homo sapiens)
Host Mouse
Isotype IgM Kappa
ECLASS 10.1 42030590
ECLASS 11.0 42030590
UNSPSC 12352203
Shipping Condition Room temperature
Available
Manufacturer - Type
Primary
Manufacturer - Applications
Flow (verified), IF (verified), IHC, FFPE (verified)
Manufacturer - Category
Primary Antibodies Only
Manufacturer - Targets
CD15|FUT4|Lewis-x
Manufacturer - Conjugate / Tag
Purified, BSA-free
Manufacturer - Host
Mus musculus (mouse)
Shipping Temperature
Room temperature
Storage Conditions
Store at -10 to -35 °C|Protect fluorescent conjugates from light
-35°C to -5°C
Molecular Weight
220 kDa
Manufacturer - Research Area
Immunology
Description
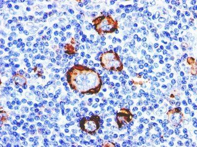
CD15 plays a role in mediating phagocytosis, bactericidal activity, and chemotaxis. It is present on >95% of granulocytes including neutrophils and eosinophils and to a lesser degree on monocytes. In addition, CD15 is expressed in Reed-Sternberg cells and some epithelial cells. CD15 antibody is very useful in the identification of Hodgkin's disease. CD15 is occasionally expressed in large cell lymphomas of both B and T phenotypes which otherwise have a quite distinct histological appearance.This antibody is available purified with BSA/azide at 200 ug/mL, or BSA/azide-free at 1 mg/mL.
Product origin
Animal
Ingredient of biological origin
Mus musculus (mouse)
Undated stability guarantee in PI
2 years
Stability at RT during shipping (protected from light)
Stable at room temperature or 37°C (98°F) for 7 days.
UNSPSC Commodity
41116161
UNSPSC Commodity Title
Primary and secondary antibodies for multiple methodology
immunostaining detection application
Classified or regulated chemicals
PBS, no BSA, no sodium azide (CAS 26628-22-8)
Concentration
1 mg/mL
Storage buffer
PBS, no BSA, no azide
Dated shelf life printed on label
Guaranteed for at least 24 months from date of receipt when stored as recommended
Immunogen (Secondaries, for anti tag only)
U937 histiocytic cell line
Clonality
Monoclonal
Regulatory Status
For research use only (RUO)
Human Gene Symbol
FUT4
Unigene
654379
Positive Control
U937 cells, Reed-Sternberg' s cells in Hodgkin' s lymphoma
Antibody target cellular localization
Plasma membrane|Perinuclear
Cell tissue expression
Granulocytes
Tumor expression
Leukemia/lymphoma
Antibody applications
Flow (verified), IF (verified), IHC, FFPE (verified)
Verified antibody applications
Flow (verified)|IF (verified)|IHC (FFPE) (verified)
Antibody application notes
Immunohistology (formalin)|Staining of formalin-fixed tissues requires boiling tissue sections in 10 mM Tris with 1 mM EDTA, pH 9.0, for 10-20 min followed by cooling at RT for 20 minutes|Immunofluorescence 0.5-1 ug/mL|Flow Cytometry 0.5-1 ug/million cells|Optimal dilution for a specific application should be determined by user
Manufacturer - Synonym
3 Fucosyl N Acetyl Lactosamine, Alpha (1, 3) Fucosyltransferase, Alpha 13 fucosyltransferase FucT, ELAM Ligand Fucosyltransferase, ELFT, FCT3A, Fuc-TIV, Fucosyltransferase 4 Alpha 1 3 Fucosyltransferase Myeloid Specific, Fucosyltransferase 4, Galactoside 3 L Fucosyltransferase, Lewis X, LeX, SSEA1, Stage Specific Embryonic Antigen 1
Manufacturer - Antibody Reactivity
CD15|FUT4|Lewis-x
Antibody number
#0277

Note: The presented information and documents (Manual, Product Datasheet, Safety Datasheet and Certificate of Analysis) correspond to our latest update and should serve for orientational purpose only. We do not guarantee the topicality. We would kindly ask you to make a request for specific requirements, if necessary.

All products are intended for research use only (RUO). Not for human, veterinary or therapeutic use.

Amount: 50 uL
Available: In stock
available

Compare

Add to wishlist

Get an offer

Request delivery time

Ask a technical question

Submit a bulk request

Questions about this Product?