Comparison

Mucin 1 / EMA / Episialin / CD227(MUC1/520), 1mg/mL

Item no. B-BNUM0520-50
Manufacturer Biotium
Amount 50 uL
Category
Type Antibody Monoclonal
Format Liquid
Applications WB, IHC
Clone MUC1/520
Specific against Human (Homo sapiens)
Host Mouse
Isotype IgG2a Kappa
ECLASS 10.1 42030590
ECLASS 11.0 42030590
UNSPSC 12352203
Shipping Condition Room temperature
Available
Manufacturer - Type
Primary
Manufacturer - Applications
IHC, FFPE (verified), WB (verified)
Manufacturer - Category
Primary Antibodies Only
Manufacturer - Targets
CD227|EMA|Episialin|Mucin 1
Manufacturer - Conjugate / Tag
Purified, BSA-free
Manufacturer - Host
Mus musculus (mouse)
Shipping Temperature
Room temperature
Storage Conditions
Store at -10 to -35 °C|Protect fluorescent conjugates from light
-35°C to -5°C
Molecular Weight
265-400 kDa
Manufacturer - Research Area
Cancer|Mucins
Description
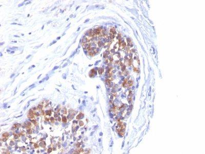
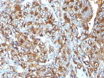
In Western blotting, it recognizes proteins in MW range of 265-400 kDa, identified as different glycoforms of EMA. EMA may provide a protective layer on epithelial cells against bacterial and enzyme attack. In immunohistochemical assays, it superbly stains routine formalin/paraffin carcinomas. Antibody to EMA is useful as a pan-epithelial marker for detecting early metastatic loci of carcinoma in bone marrow or liver.Primary antibodies are available purified, or with a selection of fluorescent CF® Dyes and other labels. CF® Dyes offer exceptional brightness and photostability. Note: Conjugates of blue fluorescent dyes like CF®405S and CF®405M are not recommended for detecting low abundance targets, because blue dyes have lower fluorescence and can give higher non-specific background than other dye colors.
Product origin
Animal
Ingredient of biological origin
Mus musculus (mouse)
Undated stability guarantee in PI
2 years
Stability at RT during shipping (protected from light)
Stable at room temperature or 37°C (98°F) for 7 days.
UNSPSC Commodity
41116161
UNSPSC Commodity Title
Primary and secondary antibodies for multiple methodology
immunostaining detection application
Classified or regulated chemicals
PBS, no BSA, no sodium azide (CAS 26628-22-8)
Concentration
1 mg/mL
Storage buffer
PBS, no BSA, no azide
Dated shelf life printed on label
Guaranteed for at least 24 months from date of receipt when stored as recommended
Immunogen (Secondaries, for anti tag only)
Human milk-fat globule membranes (HMFGM)
Clonality
Monoclonal
Regulatory Status
For research use only (RUO)
Human Gene Symbol
MUC1
Unigene
89603
Positive Control
MCF-7 or MDA-231 cells. Breast, colon, ovarian, endometrial carcinoma.
Antibody target cellular localization
Plasma membrane
Cell tissue expression
Epithelial cells|Mammary gland
Tumor expression
Breast cancer
Antibody applications
IHC, FFPE (verified), WB (verified)
Verified antibody applications
IHC (FFPE) (verified)|WB (verified)
Antibody application notes
Higher concentration may be required for direct detection using primary antibody conjugates than for indirect detection with secondary antibody|Immunofluorescence: 0.5-1 ug/mL|Immunohistology formalin-fixed 0.1-0.2 ug/mL|Staining of formalin-fixed tissues requires boiling tissue sections in 10 mM citrate buffer, pH 6.0, for 10-20 min followed by cooling at RT for 20 minutes|Flow Cytometry 0.5-1 ug/million cells/0.1 mL|Optimal dilution for a specific application should be determined by user
Manufacturer - Synonym
Breast carcinoma-associated antigen DF3, CA15-3, Carcinoma-associated mucin Episialin, Epithelial Membrane Antigen, H23AG, KL-6, MAM6, MUC-1, MUC-1/SEC, MUC-1/X, MUC1-alpha, MUC1-beta, MUC1-CT, MUC1-NT, MUC1/ZD, Mucin 1 cell surface associated, Mucin-1 subunit beta, Peanut-reactive urinary mucin, PEM, PEMT, Polymorphic epithelial mucin, PUM, Tumor-associated epithelial membrane antigen
Manufacturer - Antibody Reactivity
CD227|EMA|Episialin|Mucin 1
Antibody number
#0520

Note: The presented information and documents (Manual, Product Datasheet, Safety Datasheet and Certificate of Analysis) correspond to our latest update and should serve for orientational purpose only. We do not guarantee the topicality. We would kindly ask you to make a request for specific requirements, if necessary.

All products are intended for research use only (RUO). Not for human, veterinary or therapeutic use.

Amount: 50 uL
Available: In stock
available

Compare

Add to wishlist

Get an offer

Request delivery time

Ask a technical question

Submit a bulk request

Questions about this Product?