Comparison

BrdU (Bromodeoxyuridine)(BRD469 + BRD494 + BRD.3), 1mg/mL

Item no. B-BNUM1000-50
Manufacturer Biotium
Amount 50 uL
Category
Type Antibody Monoclonal
Format Liquid
Applications IHC
Clone BRD469 BRD494 BRD.3
Specific against other
Host Mouse
Isotype IgG1
ECLASS 10.1 42030590
ECLASS 11.0 42030590
UNSPSC 12352203
Alias Bromodeoxyuridine,5-bromo-2-deoxyuridine
Shipping Condition Room temperature
Available
Specificity All species
Manufacturer - Type
Primary
Manufacturer - Applications
IHC, FFPE (verified)
Manufacturer - Category
Primary Antibodies Only
Manufacturer - Targets
BrdU
Manufacturer - Conjugate / Tag
Purified, BSA-free
Manufacturer - Host
Mus musculus (mouse)
Shipping Temperature
Room temperature
Storage Conditions
Store at -10 to -35 °C|Protect fluorescent conjugates from light
-35°C to -5°C
Molecular Weight
Depends on the target
Manufacturer - Research Area
Cancer|Cell cycle
Description
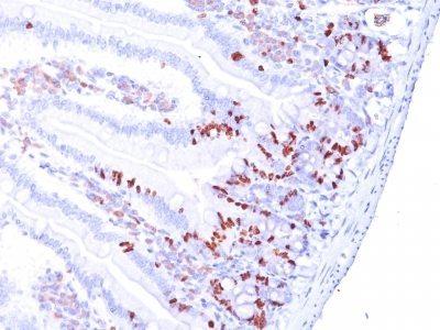
Bromodeoxyuridine (BrdU) is a synthetic nucleoside thymidine analog. It is commonly used to detect proliferation in cells. In cells cultured in the presence of BrdU, BrdU will incorporate into newly synthesized DNA during S-phase. Antibodies specific for BrdU can then be used to detect replicated DNA. This antibody is available purified, with BSA (0.2 mg/mL) or purified, BSA-free (1 mg/mL).
Product origin
Animal
Ingredient of biological origin
Mus musculus (mouse)
Undated stability guarantee in PI
2 years
Stability at RT during shipping (protected from light)
Stable at room temperature or 37°C (98°F) for 7 days.
UNSPSC Commodity
41116161
UNSPSC Commodity Title
Primary and secondary antibodies for multiple methodology
immunostaining detection application
Classified or regulated chemicals
PBS, no BSA, no sodium azide (CAS 26628-22-8)
Concentration
1 mg/mL
Storage buffer
PBS, no BSA, no azide
Dated shelf life printed on label
Guaranteed for at least 24 months from date of receipt when stored as recommended
Immunogen (Secondaries, for anti tag only)
Bromodeoxyuridine (BrdU) conjugated to BSA or KLH
Clonality
Monoclonal
Regulatory Status
For research use only (RUO)
Positive Control
Cells grown in presence of BrdU or tissues from experimental animals injected with BrdU
Antibody target cellular localization
Nucleus
Antibody applications
IHC, FFPE (verified)
Verified antibody applications
IHC (FFPE) (verified)
Antibody application notes
Immunohistology formalin-fixed 0.5-1 ug/mL|Staining of formalin-fixed tissues, incubate sections in 4N HCl for 30 minutes at RT followed by digestion with trypsin at 1mg/mL PBS, 10 min at 37C|Immunofluorescence 0.5-1 ug/mL|Flow Cytometry 0.5-1 ug/million cells|Optimal dilution for a specific application should be determined by user
Manufacturer - Antibody Reactivity
BrdU
Antibody number
#1000

Note: The presented information and documents (Manual, Product Datasheet, Safety Datasheet and Certificate of Analysis) correspond to our latest update and should serve for orientational purpose only. We do not guarantee the topicality. We would kindly ask you to make a request for specific requirements, if necessary.

All products are intended for research use only (RUO). Not for human, veterinary or therapeutic use.

Amount: 50 uL
Available: In stock
available

Compare

Add to wishlist

Get an offer

Request delivery time

Ask a technical question

Submit a bulk request

Questions about this Product?