Comparison

ZAP70 (Chronic Lymphocytic Leukemia Marker)(ZAP70/2047), 1mg/mL

Item no. B-BNUM2047-50
Manufacturer Biotium
Amount 50 uL
Category
Type Antibody Monoclonal
Format Liquid
Applications FC, IF, IHC
Clone ZAP70/2047
Specific against Human (Homo sapiens)
Host Mouse
Isotype IgG1 Kappa
ECLASS 10.1 42030590
ECLASS 11.0 42030590
UNSPSC 12352203
Alias Selective T cell defect,SRK,STD,Syk-related tyrosine kinase,Tyrosine-protein kinase ZAP-70,TZK,Zeta chain associated protein kinase 70kDa
Shipping Condition Room temperature
Available
Manufacturer - Type
Primary
Manufacturer - Applications
Flow, intracellular (verified), IF (verified), IHC, FFPE (verified)
Manufacturer - Category
Primary Antibodies Only
Manufacturer - Targets
ZAP70
Manufacturer - Conjugate / Tag
Purified, BSA-free
Manufacturer - Host
Mus musculus (mouse)
Shipping Temperature
Room temperature
Storage Conditions
Store at -10 to -35 °C|Protect fluorescent conjugates from light
-35°C to -5°C
Molecular Weight
70 kDa
Description
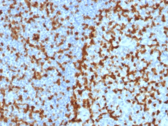
ZAP70 is a 70 kDa protein tyrosine kinase found in T-cells and natural killer cells. Control of this protein translation is via the IgVH gene. ZAP70 protein is expressed in leukemic cells of approximately 25% of chronic lymphocytic leukemia (CLL) cases as well. Anti-ZAP70 expression is an excellent surrogate marker for the distinction between the Ig-mutated (anti-ZAP70 negative) and Ig-unmutated (anti-ZAP70 positive) CLL subtypes and can identify patient groups with divergent clinical courses. The anti-ZAP70 positive Ig-unmutated CLL cases have been shown to have a poorer prognosis.

Primary antibodies are available purified, or with a selection of fluorescent CF® Dyes and other labels. CF® Dyes offer exceptional brightness and photostability. Note: Conjugates of blue fluorescent dyes like CF®405S and CF®405M are not recommended for detecting low abundance targets, because blue dyes have lower fluorescence and can give higher non-specific background than other dye colors.
Product origin
Animal
Ingredient of biological origin
Mus musculus (mouse)
Undated stability guarantee in PI
2 years
Stability at RT during shipping (protected from light)
Stable at room temperature or 37°C (98°F) for 7 days.
UNSPSC Commodity
41116161
UNSPSC Commodity Title
Primary and secondary antibodies for multiple methodology
immunostaining detection application
Classified or regulated chemicals
PBS, no BSA, no sodium azide (CAS 26628-22-8)
Concentration
1 mg/mL
Storage buffer
PBS, no BSA, no azide
Dated shelf life printed on label
Guaranteed for at least 24 months from date of receipt when stored as recommended
Immunogen (Secondaries, for anti tag only)
Recombinant fragment (around aa 247-382) of human ZAP70 protein (exact sequence is proprietary)
Clonality
Monoclonal
Regulatory Status
For research use only (RUO)
Human Gene Symbol
ZAP70
Unigene
234569
Positive Control
Jurkat cells. Tonsil or lymph node.
Antibody target cellular localization
Cytoplasmic
Cell tissue expression
Lymphocytes|NK cells|T-cells
Tumor expression
Leukemia/lymphoma
Validated in protein array
Monospecific
Antibody applications
Flow, intracellular (verified), IF (verified), IHC, FFPE (verified)
Verified antibody applications
Flow (intracellular) (verified)|IF (verified)|IHC (FFPE) (verified)
Manufacturer - Antibody Reactivity
ZAP70
Antibody number
#2047

Note: The presented information and documents (Manual, Product Datasheet, Safety Datasheet and Certificate of Analysis) correspond to our latest update and should serve for orientational purpose only. We do not guarantee the topicality. We would kindly ask you to make a request for specific requirements, if necessary.

All products are intended for research use only (RUO). Not for human, veterinary or therapeutic use.

Amount: 50 uL
Available: In stock
available

Compare

Add to wishlist

Get an offer

Request delivery time

Ask a technical question

Submit a bulk request

Questions about this Product?