Comparison

PTEN (Tumor Suppressor Oncoprotein) (PTEN/2110), 1mg/mL

Item no. B-BNUM2110-50
Manufacturer Biotium
Amount 50 uL
Category
Type Antibody Monoclonal
Format Liquid
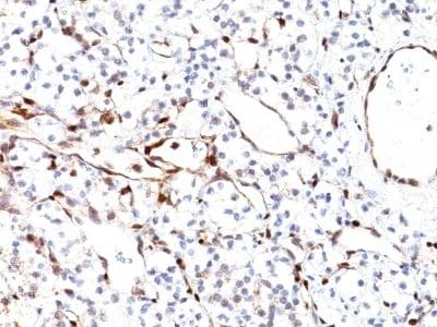
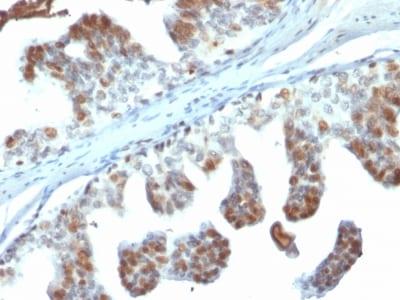
Applications IHC
Clone PTEN/2110
Specific against Human (Homo sapiens)
Host Mouse
Isotype IgG2b Kappa
ECLASS 10.1 42030590
ECLASS 11.0 42030590
UNSPSC 12352203
Shipping Condition Room temperature
Available
Manufacturer - Type
Primary
Manufacturer - Applications
IHC, FFPE (verified)
Manufacturer - Category
Primary Antibodies Only
Manufacturer - Targets
PTEN
Manufacturer - Conjugate / Tag
Purified, BSA-free
Manufacturer - Host
Mus musculus (mouse)
Shipping Temperature
Room temperature
Storage Conditions
Store at -10 to -35 °C|Protect fluorescent conjugates from light
-35°C to -5°C
Molecular Weight
55 kDa
Manufacturer - Research Area
Signal transduction|Tumor suppressors
Description
PTEN (phosphatidylinositol-3, 4, 5-trisphosphate 3-phosphatase) contains a tensin like domain as well as a catalytic domain similar to that of the dual specificity protein tyrosine phosphatases. It was identified as a tumor suppressor that is mutated in a large number of cancers, including sporadic brain, breast, kidney, and prostate cancers.Primary antibodies are available purified, or with a selection of fluorescent CF® Dyes and other labels. CF® Dyes offer exceptional brightness and photostability. Note: Conjugates of blue fluorescent dyes like CF®405S and CF®405M are not recommended for detecting low abundance targets, because blue dyes have lower fluorescence and can give higher non-specific background than other dye colors.
Product origin
Animal
Ingredient of biological origin
Mus musculus (mouse)
Undated stability guarantee in PI
2 years
Stability at RT during shipping (protected from light)
Stable at room temperature or 37°C (98°F) for 7 days.
UNSPSC Commodity
41116161
UNSPSC Commodity Title
Primary and secondary antibodies for multiple methodology
immunostaining detection application
Classified or regulated chemicals
PBS, no BSA, no sodium azide (CAS 26628-22-8)
Concentration
1 mg/mL
Storage buffer
PBS, no BSA, no azide
Dated shelf life printed on label
Guaranteed for at least 24 months from date of receipt when stored as recommended
Immunogen (Secondaries, for anti tag only)
Recombinant full-length human PTEN protein
Clonality
Monoclonal
Regulatory Status
For research use only (RUO)
Human Gene Symbol
PTEN
Unigene
500466; 729457
Positive Control
MCF-7 or HeLa Cells. Prostate, Breast, Liver, Renal Carcinoma.
Antibody target cellular localization
Nucleus & cytoplasm
Validated in protein array
Monospecific
Antibody applications
IHC, FFPE (verified)
Verified antibody applications
IHC (FFPE) (verified)
Antibody application notes
Higher concentration may be required for direct detection using primary antibody conjugates than for indirect detection with secondary antibody|Immunohistology (formalin): 1-2 ug/mL for 30 minutes at RT|Staining of formalin-fixed tissues requires boiling tissue sections in 10 mM citrate buffer, pH 6.0, for 10-20 minutes followed by cooling at RT for 20 minutes|Optimal dilution for a specific application should be determined by user
Manufacturer - Synonym
BZS, DEC, GLM2, MHAM, Mutated in Multiple Advanced Cancers 1 (MMAC1), MMAC1 phosphatase and tensin homolog deleted on chromosome 10, Phosphatase and Tensin Homolog, Phosphatase and tensin like protein, Phosphatidylinositol 3, 4, 5-trisphosphate 3-phosphatase and dual-specificity protein phosphatase, PTEN, PTEN1, TEP1
Manufacturer - Antibody Reactivity
PTEN
Antibody number
#2110

Note: The presented information and documents (Manual, Product Datasheet, Safety Datasheet and Certificate of Analysis) correspond to our latest update and should serve for orientational purpose only. We do not guarantee the topicality. We would kindly ask you to make a request for specific requirements, if necessary.

All products are intended for research use only (RUO). Not for human, veterinary or therapeutic use.

Amount: 50 uL
Available: In stock
available

Delivery expected until 1/1/2026 

Compare

Add to wishlist

Get an offer

Request delivery time

Ask a technical question

Submit a bulk request

Questions about this Product?