Comparison

CD163 (Monocyte & Macrophage Marker)(M130/2162), 1mg/mL

Item no. B-BNUM2162-50
Manufacturer Biotium
Amount 50 uL
Category
Type Antibody Monoclonal
Format Liquid
Applications IHC
Clone M130/2162
Specific against Human (Homo sapiens)
Host Mouse
Isotype IgG2b Kappa
ECLASS 10.1 42030590
ECLASS 11.0 42030590
UNSPSC 12352203
Alias CD163,CD163 antigen,Macrophage-associated antigen,M130,CD163 molecule,Hemoglobin scavenger receptor,MM130,Scavenger receptor cysteine rich type 1 protein M130
Shipping Condition Room temperature
Available
Manufacturer - Type
Primary
Manufacturer - Applications
IHC, FFPE (verified)
Manufacturer - Category
Primary Antibodies Only
Manufacturer - Targets
CD163
Manufacturer - Conjugate / Tag
Purified, BSA-free
Manufacturer - Host
Mus musculus (mouse)
Shipping Temperature
Room temperature
Storage Conditions
Store at -10 to -35 °C|Protect fluorescent conjugates from light
-35°C to -5°C
Molecular Weight
140 kDa
Description
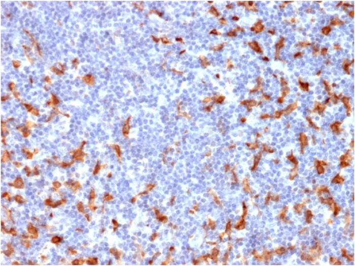
This MAb recognizes a protein of 140 kDa, identified as CD163. It has been identified as an acute phase-regulated transmembrane protein whose function is to mediate the endocytosis of haptoglobin-hemoglobin complexes. This receptor is expressed on the surface of monocytes with low expression and on tissue macrophages, histiocytes with high expression. Staining with anti-CD163 has been helpful to distinguish synovial macrophages from synovial intimal fibroblasts in rheumatoid arthritis, where its specificity for macrophages was found to be superior to that of anti-CD68. Increased levels of CD163 were also detected in patients with microbial infections and myelomonocytic leukemias. Anti-CD163 is of considerable value for selective identification of monocytes and macrophages at a certain stage of differentiation and is suitable for diagnosing myelomonocytic or monocytic leukaemia and neoplasms of true histiocytic origin. CD163 is positive in skin (histiocytes), gut, Kupffer cells, a few alveolar macrophages, macrophages in the placenta, and in macrophages in inflamed tissues including tumor tissue. Primary antibodies are available purified, or with a selection of fluorescent CF® Dyes and other labels. CF® Dyes offer exceptional brightness and photostability. Note: Conjugates of blue fluorescent dyes like CF®405S and CF®405M are not recommended for detecting low abundance targets, because blue dyes have lower fluorescence and can give higher non-specific background than other dye colors.
Product origin
Animal
Ingredient of biological origin
Mus musculus (mouse)
Undated stability guarantee in PI
2 years
Stability at RT during shipping (protected from light)
Stable at room temperature or 37°C (98°F) for 7 days.
UNSPSC Commodity
41116161
UNSPSC Commodity Title
Primary and secondary antibodies for multiple methodology
immunostaining detection application
Classified or regulated chemicals
PBS, no BSA, no sodium azide (CAS 26628-22-8)
Concentration
1 mg/mL
Storage buffer
PBS, no BSA, no azide
Dated shelf life printed on label
Guaranteed for at least 24 months from date of receipt when stored as recommended
Immunogen (Secondaries, for anti tag only)
Recombinant fragment (around aa 43-196) of human CD163 (exact sequence is proprietary)
Clonality
Monoclonal
Regulatory Status
For research use only (RUO)
Human Gene Symbol
CD163
Unigene
504641
Positive Control
hPBL Cells. Skin, Lung, Placenta or Histiocytoma.
Antibody target cellular localization
Plasma membrane
Cell tissue expression
Monocytes/macrophages
Validated in protein array
Monospecific
Antibody applications
IHC, FFPE (verified)
Verified antibody applications
IHC (FFPE) (verified)
Manufacturer - Antibody Reactivity
CD163
Antibody number
#2162

Note: The presented information and documents (Manual, Product Datasheet, Safety Datasheet and Certificate of Analysis) correspond to our latest update and should serve for orientational purpose only. We do not guarantee the topicality. We would kindly ask you to make a request for specific requirements, if necessary.

All products are intended for research use only (RUO). Not for human, veterinary or therapeutic use.

Amount: 50 uL
Available: In stock
available

Compare

Add to wishlist

Get an offer

Request delivery time

Ask a technical question

Submit a bulk request

Questions about this Product?