Comparison

SOX10 (Melanoma Marker) (rSOX10/1074), 1mg/mL

Item no. B-BNUM2312-50
Manufacturer Biotium
Amount 50 uL
Category
Type Antibody Monoclonal
Format Liquid
Applications WB, IHC
Clone rSOX10/1074
Specific against Human (Homo sapiens), Mouse (Murine, Mus musculus)
Host Mouse
Isotype IgG1 Kappa
ECLASS 10.1 42030590
ECLASS 11.0 42030590
UNSPSC 12352203
Alias DOM,PCWH,SOX10,SRY (sex determining region Y) box 10,SRY box containing gene 10,SRY related HMG box gene 10,Waardenburg syndrome type 2E (WS2E),WS4,Waardenburg syndrome type 4C (WS4C)
Shipping Condition Room temperature
Available
Manufacturer - Type
Primary
Manufacturer - Applications
IHC, FFPE (verified), WB (verified)
Manufacturer - Category
Primary Antibodies Only
Manufacturer - Targets
SOX10
Manufacturer - Conjugate / Tag
Purified, BSA-free
Manufacturer - Host
Mus musculus (mouse)
Shipping Temperature
Room temperature
Storage Conditions
Store at -10 to -35 °C|Protect fluorescent conjugates from light
-35°C to -5°C
Molecular Weight
49-58 kDa
Manufacturer - Research Area
Cancer|Developmental biology|Transcription factors
Description
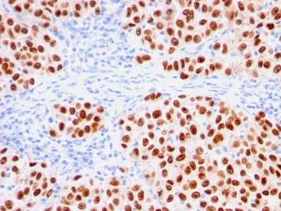
SOX genes comprise a family of genes that are related to the mammalian sex-determining gene SRY. These genes similarly contain sequences that encode for the HMG-box domain, which is responsible for the sequence-specific DNA-binding activity. SOX-10 is a sensitive marker of melanoma, including conventional, spindled, and desmoplastic subtypes. It is expressed by metastatic melanomas and nodal capsular nevus in sentinel lymph nodes, but not by other lymph node components such as dendritic cells, which usually express S100 protein. Commonly used melanoma markers, such as anti-HMB-45 and anti-Melan-A, are poorly expressed in desmoplastic melanomas while SOX-10 is moderately to strongly expressed in desmoplastic melanomas. SOX-10 is considered as a very reliable marker for recognizing residual desmoplastic melanomas. In normal tissues, it is expressed in Schwann cells, melanocytes, and myoepithelial cells of salivary, bronchial and mammary glands. SOX-10 expression is also observed in mast cells.Primary antibodies are available purified, or with a selection of fluorescent CF® Dyes and other labels. CF® Dyes offer exceptional brightness and photostability. Note: Conjugates of blue fluorescent dyes like CF®405S and CF®405M are not recommended for detecting low abundance targets, because blue dyes have lower fluorescence and can give higher non-specific background than other dye colors.
Product origin
Animal
Ingredient of biological origin
Mus musculus (mouse)
Undated stability guarantee in PI
2 years
Stability at RT during shipping (protected from light)
Stable at room temperature or 37°C (98°F) for 7 days.
UNSPSC Commodity
41116161
UNSPSC Commodity Title
Primary and secondary antibodies for multiple methodology
immunostaining detection application
Classified or regulated chemicals
PBS, no BSA, no sodium azide (CAS 26628-22-8)
Concentration
1 mg/mL
Storage buffer
PBS, no BSA, no azide
Dated shelf life printed on label
Guaranteed for at least 24 months from date of receipt when stored as recommended
Immunogen (Secondaries, for anti tag only)
Recombinant human SOX10 protein fragment (around aa115-269) (exact sequence is proprietary)
Clonality
Recombinant Monoclonal
Regulatory Status
For research use only (RUO)
Human Gene Symbol
SOX10
Unigene
376984
Positive Control
HepG2 cells. Melanomas, breast carcinomas, gliomas.
Antibody target cellular localization
Nucleus
Tumor expression
Melanoma
Antibody applications
IHC, FFPE (verified), WB (verified)
Verified antibody applications
IHC (FFPE) (verified)|WB (verified)
Antibody application notes
Higher concentration may be required for direct detection using primary antibody conjugates than for indirect detection with secondary antibody|Immunohistology (formalin): 0.5-1 ug/mL for 30 minutes at RT|Staining of formalin-fixed tissues requires boiling tissue sections in 10 mM citrate buffer, pH 6.0, for 10-20 minutes followed by cooling at RT for 20 minutes|Optimal dilution for a specific application should be determined by user
Manufacturer - Antibody Reactivity
SOX10
Antibody number
#2312

Note: The presented information and documents (Manual, Product Datasheet, Safety Datasheet and Certificate of Analysis) correspond to our latest update and should serve for orientational purpose only. We do not guarantee the topicality. We would kindly ask you to make a request for specific requirements, if necessary.

All products are intended for research use only (RUO). Not for human, veterinary or therapeutic use.

Amount: 50 uL
Available: In stock
available

Compare

Add to wishlist

Get an offer

Request delivery time

Ask a technical question

Submit a bulk request

Questions about this Product?