Comparison

SOX4 (Master Regulator of Epithelial-Mesenchymal Transition) (SOX4/2540), 1mg/mL

Item no. B-BNUM2540-50
Manufacturer Biotium
Amount 50 uL
Category
Type Antibody Monoclonal
Format Liquid
Applications IHC
Clone SOX4/2540
Specific against Human (Homo sapiens)
Host Mouse
Isotype IgG2b Kappa
ECLASS 10.1 42030590
ECLASS 11.0 42030590
UNSPSC 12352203
Alias SOX,SRY (sex determining region Y) box 4,SRY box containing gene 4,SRY related HMG box gene 4,Transcription factor SOX-4
Shipping Condition Room temperature
Available
Manufacturer - Type
Primary
Manufacturer - Applications
IHC, FFPE (verified)
Manufacturer - Category
Primary Antibodies Only
Manufacturer - Targets
SOX4
Manufacturer - Conjugate / Tag
Purified, BSA-free
Manufacturer - Host
Mus musculus (mouse)
Shipping Temperature
Room temperature
Storage Conditions
Store at -10 to -35 °C|Protect fluorescent conjugates from light
-35°C to -5°C
Molecular Weight
47 kDa
Manufacturer - Research Area
Cancer|Developmental biology|Transcription factors
Description
SOX4 is a member of the SOX (SRY-related HMG-box) family of transcription factors with a critical role in embryonic development and in cell-fate determination during organogenesis of the heart, pancreas, brain, and in B and T lymphocyte differentiation. SOX4 gene expression is upregulated in many cancer types, and increased SOX4 activity contributes to cellular transformation, cell survival, and metastasis. Gene expression profiling has uncovered SOX4 with upregulated activity during TGF-β -induced epithelial-mesenchymal transition (EMT) in normal and cancerous breast epithelial cells. SOX4 is indispensable for EMT and cell survival in vitro and for primary tumor growth and metastasis in vivo. SOX4 is identified as a master regulator of EMT by governing the expression of the epigenetic modifier Ezh2.Primary antibodies are available purified, or with a selection of fluorescent CF® Dyes and other labels. CF® Dyes offer exceptional brightness and photostability. Note: Conjugates of blue fluorescent dyes like CF®405S and CF®405M are not recommended for detecting low abundance targets, because blue dyes have lower fluorescence and can give higher non-specific background than other dye colors.
Product origin
Animal
Ingredient of biological origin
Mus musculus (mouse)
Undated stability guarantee in PI
2 years
Stability at RT during shipping (protected from light)
Stable at room temperature or 37°C (98°F) for 7 days.
UNSPSC Commodity
41116161
UNSPSC Commodity Title
Primary and secondary antibodies for multiple methodology
immunostaining detection application
Classified or regulated chemicals
PBS, no BSA, no sodium azide (CAS 26628-22-8)
Concentration
1 mg/mL
Storage buffer
PBS, no BSA, no azide
Dated shelf life printed on label
Guaranteed for at least 24 months from date of receipt when stored as recommended
Immunogen (Secondaries, for anti tag only)
Recombinant full-length human SOX4 protein
Clonality
Monoclonal
Regulatory Status
For research use only (RUO)
Human Gene Symbol
SOX4
Unigene
643910
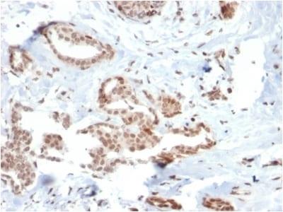
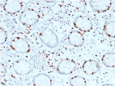
Positive Control
Breast or Colon Carcinoma
Antibody target cellular localization
Nucleus
Validated in protein array
Monospecific
Antibody applications
IHC, FFPE (verified)
Verified antibody applications
IHC (FFPE) (verified)
Antibody application notes
Higher concentration may be required for direct detection using primary antibody conjugates than for indirect detection with secondary antibody|Immunohistology (formalin): 1-2 ug/mL for 30 minutes at RT|Staining of formalin-fixed tissues requires boiling tissue sections in 10 mM citrate buffer, pH 6.0, for 10-20 minutes followed by cooling at RT for 20 minutes|Optimal dilution for a specific application should be determined by user
Manufacturer - Antibody Reactivity
SOX4
Antibody number
#2540

Note: The presented information and documents (Manual, Product Datasheet, Safety Datasheet and Certificate of Analysis) correspond to our latest update and should serve for orientational purpose only. We do not guarantee the topicality. We would kindly ask you to make a request for specific requirements, if necessary.

All products are intended for research use only (RUO). Not for human, veterinary or therapeutic use.

Amount: 50 uL
Available: In stock
available

Compare

Add to wishlist

Get an offer

Request delivery time

Ask a technical question

Submit a bulk request

Questions about this Product?